Другие статьи

Киста зуба под коронкой

Киста зуба
Одно из самых коварных стоматологических заболеваний - киста зуба под коронкой. Недуг чаще всего развивается бессимптомно и дает о себе знать при возникновении различных осложнений. В ряде случаев патология обнаруживается случайно на профилактических осмотрах или при диагностике другого зуба.
Появлению кисты под коронкой способствует проникновение в здоровые ткани бактерий в результате:
  • кариеса;
  • воспаления пульпы, периодонта;
  • травмы зуба или десны;
  • инфекционного заболевания полости рта.
Киста под коронкой может появиться при некачественной подготовке зуба к протезированию и нарушении герметичности во время установки ортопедической конструкции.

Симптомы кисты зуба под коронкой

Заболевание очень долго протекает без симптомов. Но иногда определенные признаки патологии, все же, появляются:
  • В области, где сформировалась киста зуба под коронкой, может воспалиться десна. Визуально заметны покраснение и отечность, причинным зубом больно жевать. При интенсивных болевых ощущениях возможна иррадиация в висок, ухо, глаз или шею.
  • У некоторых пациентов увеличивается температура тела и ухудшается общее состояние здоровья.
  • При осложнении кисты под коронкой может начаться нагноение десны с образованием свища или воспаление надкостницы (флюс).
С целью профилактики и своевременного обнаружения кистозного образования и других заболеваний полости рта мы рекомендуем ежегодно проходить профилактические осмотры, например, в клинике «Дока-Дент».

Симптомы кисты зуба под коронкой

Чтобы вылечить кисту зуба под коронкой, может потребоваться снять протез. В зависимости от клинической картины, проводится консервативная терапия или делается хирургическая операция.
Терапевтическое лечение предполагает распломбировку или вскрытие зубного канала, его очистку от гноя и помещение внутрь лекарства. В течение определенного времени пациент должен регулярно проходить рентгенологический контроль. Если образование рассасывается, это свидетельствует о выздоровлении, если продолжает расти, то необходимо его удалить хирургическим методом.
Киста под коронкой может быть ликвидирована несколькими способами:
  • Цистэктомия. Киста вырезается вместе с частью корня через отверстие в десне.
  • Гемисекция. Удаляется новообразование, больной корень и часть зуба над десной.
  • Цистотомия. Киста вскрывается через надрез в десне, содержимое капсулы вычищается и рана зашивается.

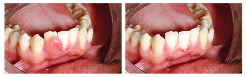
Киста зуба под коронкой: фото до и после

Если у вас появились подозрения на кисту зуба под коронкой, приходите на диагностику в стоматологию «Дока-Дент»!