Другие статьи

Экспресс-имплантация зубов

Имплантация зубов
Современные методы зубного протезирования позволяют быстро и с минимальным травматизмом исправить дефект, одна из таких методик – одномоментная имплантация зубов. Являясь бескровной, она позволяет сократить сроки лечения и восстановить зубы даже при атрофии костной ткани челюсти.

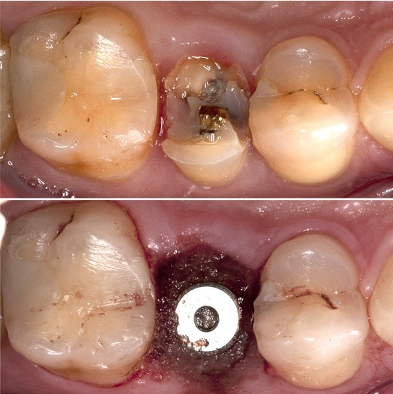
Экспресс-имплантация зубов: фото до и после

Что такое экспресс имплантация зубов?

Экспресс-имплантация – это процедура удаления зубов и одновременной установки на их место искусственных конструкций. При этом применяются специальные импланты небольшого размера.
Данный вид воссоздания зубов включает несколько методик:
  • Реставрация зубного ряда с фиксацией протеза на четырех мини-штифтах. В этом случае не требуется большого объема кости, а имплант вживляется через прокол.
  • Базальная одноэтапная имплантация зубов. Применяется для восстановления трех и более зубов при нехватке объема костной ткани: для установки имплантов задействованы глубокие слои кости, которые не подвержены разрушению. Фиксация протеза осуществляется уже на третий день. Жевательная функция сразу возвращается, при этом благодаря нагрузке на костную ткань вокруг импланта улучшаются кровоснабжение и естественный клеточный обмен, что способствует прекращению атрофии.
  • Экспресс-имплантация зубов с моментальной нагрузкой. Для этого вида протезирования требуется определенный объем кости, поэтому целесообразность его применения может подтвердить лишь компьютерная томография.
Выбор оптимального способа реконструкции зубов определяется стоматологом по результатам диагностики. Нередко применяются комбинированные подходы к одноэтапной имплантации.

Показания и противопоказания к одномоментной имплантации зубов

Одномоментная имплантация зубов показана в следующих случаях:
  • отсутствие в ряду одного или нескольких зубов;
  • полная адентия;
  • небольшой объем костной ткани;
  • запущенная форма пародонтита.
Абсолютные противопоказания к процедуре одноэтапной имплантации зубов:
  • заболевания крови и кроветворных органов;
  • злокачественные опухоли;
  • нарушения психики;
  • проблемы с соединительной тканью;
  • иммунные заболевания;
  • туберкулез;
  • воспаления слизистой полости рта;
  • венерические заболевания, СПИД;
  • эндокринные нарушения;
  • остеопороз и другие болезни костей;
  • непереносимость анестезии.
Экспресс-имплантацию зубов нельзя проводить при обнаружении хотя бы одного из абсолютных противопоказания. Также существуют относительные противопоказания, которые носят временный характер:
  • наличие кариеса;
  • периодонтит;
  • воспаление десен;
  • некачественная гигиена полости рта;
  • патология прикуса;
  • беременность;
  • вредные привычки.
Важно, чтобы пациент за 12 дней до процедуры отказался от курения, иначе может произойти отторжение конструкции.

Экспресс имплантация с моментальной нагрузкой

Этот вид восстановления зубов предполагает установку имплантов за один день. Операция состоит из нескольких этапов:
  1. Наращивание объема кости путем подсадки искусственной или собственной костной ткани пациента.
  2. Установка искусственных конструкций. В кости делается прокол, который будет ложем для импланта. Такая технология исключает травмирование тканей, что способствует быстрому восстановлению.
  3. Установка на абатмент предварительно изготовленного временного протеза из легкой металлопластмассы.
  4. Постоянное протезирование металлокерамическими или цельнокерамическими коронками.
Преимущества имплантации зубов за 1 день:
  • новые зубы появляются у пациента сразу после установки импланта;
  • короткий реабилитационный период;
  • искусственный корень совмещен с абатментом, что значительно упрощает процедуру;
  • данный способ подходит пациентам, которые боятся хирургических вмешательств.

Одномоментная классическая имплантация зубов

Эта разновидность одномоментной имплантации зубов предусматривает внедрение титанового штифта в лунку после удаления зуба, но абатмент и постоянная коронка ставятся не сразу, а через несколько месяцев после операции. На период реабилитации на имплант устанавливается временный протез, замену которого производят только после полного приживления искусственной конструкции.
Классическая моментальная имплантация позволяет восстановить любое количество зубов – их число определяется лишь финансовыми возможностями пациента.

Критерии качества экспресс имплантации зубов

Процедуру экспресс-имплантации зубов можно считать успешной, если искусственные конструкции хорошо прижились и без проблем служат положенный срок. Сразу после операции, а также при эксплуатации протезов в дальнейшем пациент не должен испытывать сильного дискомфорта.
Очень важна эстетика: качественно восстановленный зуб не выделяется в ряду, также недопустимо, чтобы сквозь десну были видны части импланта.

Стоимость одноэтапной имплантации в Москве в нашей стоматологии

Стоимость экспресс-имплантации зубов достаточно высока, поскольку это высокотехнологичная процедура. Сумма протезирования определится после диагностики и выбора оптимального варианта восстановления зубов. А с ориентировочными ценами на экспресс-имплантацию зубов можно ознакомиться в таблице.