Другие статьи

Реминерализация зубов

Профилактическая стоматология
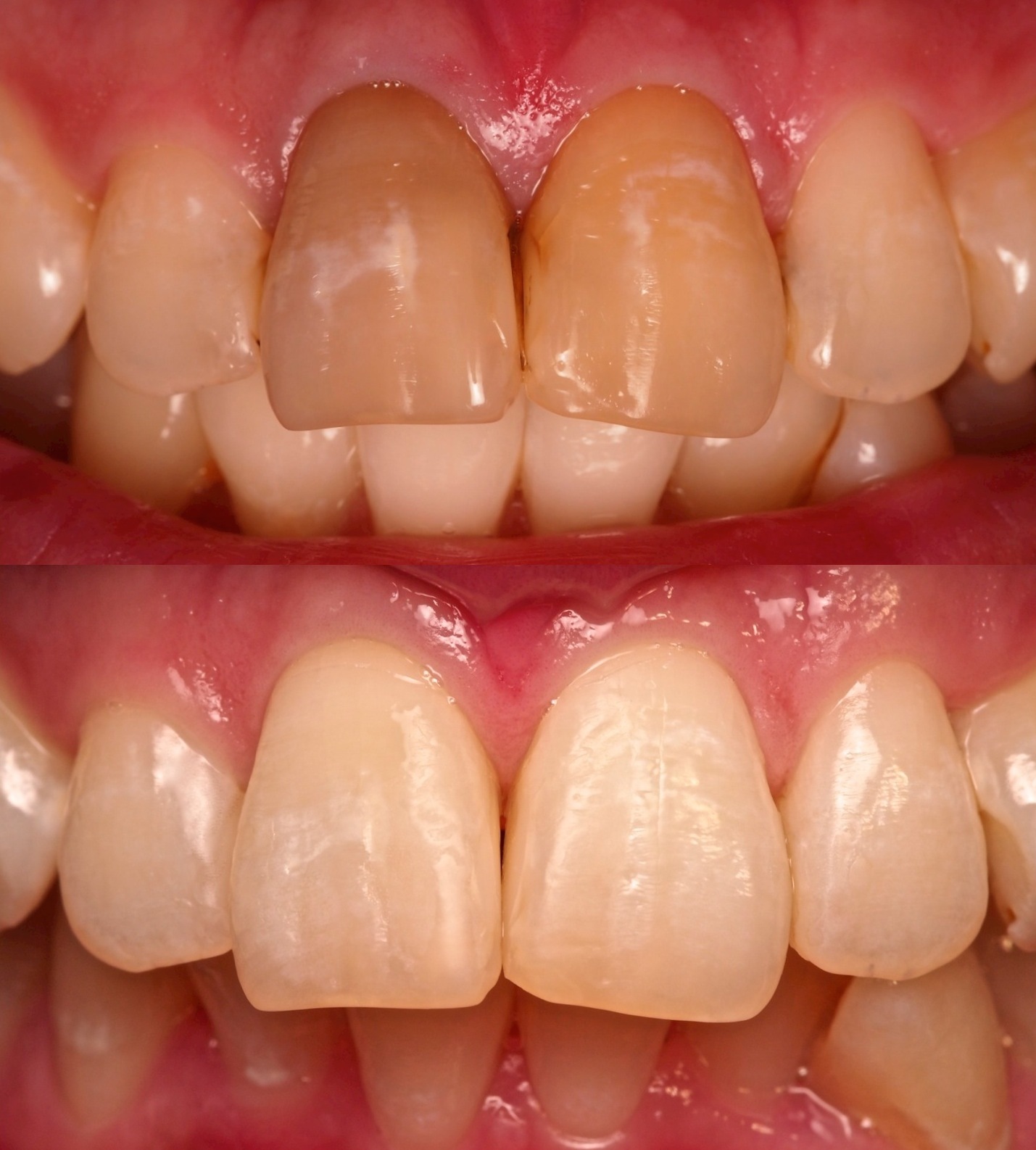
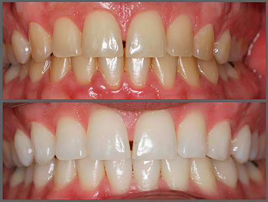
Реминерализация эмали – это процесс восстановления ее структуры с помощью минеральных препаратов. Во рту постоянно проходят различные химические реакции, связанные с приемом пищи, жизнедеятельностью бактерий и т.п. Наличие зубных отложений, нехватка минеральных веществ, изменения кислотно-щелочного баланса постепенно приводят к нарушению структуры эмали (деминерализации). На ранней стадии этот процесс обратим, и если насытить эмаль минералами (кальцием, фтором, фосфором), можно полностью ее восстановить и повысить устойчивость зуба к кариесу.
Реминерализация эмали:
  • является хорошим профилактическим мероприятием;
  • позволяет устранить кариес без механической обработки;
  • помогает бороться с гиперчувствительностью зубов;
  • восполняет недостаток минеральных элементов:
  • после отбеливания;
  • в период активного роста у детей и подростков;
  • во время ортодонтического лечения;
  • в период беременности.

Реминерализация зубов: фото до и после

Показания к реминерализации эмали зубов

  • Чрезмерная чувствительность зубов.
  • Усиленное образование зубного налета.
  • Множественный кариес.
  • Патологическая стираемость зубов.
  • Различные некариозные поражения (гипоплазия и эрозии эмали, флюороз, клиновидный дефект).
  • Ортодонтическое лечение.
  • Отбеливание зубов.
  • Завершающий этап санации и гигиены полости рта.
  • Беременность.
  • Подростковый возраст.

Препараты для реминерализации зубной эмали

Реминерализация эмали зубов проводится с помощью особых составов. Некоторые из них содержат фтор, в других фторидов нет. В первом случае применяется кальций-фторсодержащий лак, который в несколько приемов наносится на зубы кисточкой или помещается в пластиковые капы. Препараты без фтора обычно помогают закрепить эффект этого вида лечения.
Очень действенный метод реминерализации зубной эмали - глубокое фторирирование. Эта процедура предполагает одновременное использование двух взаимодействующих друг с другом жидкостей. Создавая прочные соединения кальция и фтора, они образуют на поверхности зубов пленку, которая на протяжении длительного времени их защищает. Стоимость реминерализации эмали таким способом выше, но и результат более долговременный.

Критерии качества для реминерализации зубной эмали

После ремотерапии зубы выглядят блестящими и здоровыми, а если до процедуры на них были белые пятна (начальная стадия кариеса), то теперь их не должно быть видно. Еще один важный показатель качественно проведенной реминерализации – значительное снижение или полное исчезновение болевой реакции на химические и температурные раздражители.