Другие статьи

Чистка зубов Air Flow

Профилактическая стоматология
Сеть стоматологических клиник «Дока-Дент» предлагает пациентам широкий выбор гигиенических и эстетических процедур. Профессиональная чистка Air-Flow — одна из наиболее востребованных услуг.
Этот современный метод позволяет эффективно удалить налет и бактерии с поверхности зубов при помощи специального аппарата. Кроме того, такая чистка дает возможность осветлить эмаль на один-два тона. Благодаря подобному эффекту эту процедуру нередко называют отбеливанием Air-Flow, хотя с точки зрения стоматологов это неверное определение — в ходе гигиенических манипуляций зубам всего лишь возвращается их природный цвет.

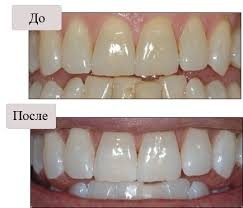
Чистка зубов Air Flow: фото до и после

Как проходит ультразвуковая чистка зубов Air-Flow?

Процедура Air-Flow состоит в очищении поверхности зубов с использованием порошкоструйного аппарата. Перед чисткой десны пациента закрываются защитным материалом. Затем аппарат под большим давлением обрабатывает зубы и межзубные промежутки смесью воды, воздуха и порошка на основе соды. По окончании процедуры на поверхность зубов наносится специальный лак, который должен снизить чувствительность.
Отбеливание Air-Flow — самый быстрый способ профессиональной чистки. В большинстве случае, все манипуляции занимают менее получаса. Однако в зависимости от состояния и количества обрабатываемых зубов продолжительность процедуры может немного варьироваться.
Данный метод не предполагает применения обезболивающих средств. Чистка абсолютно безболезненна, и лишь пациентам с гиперчувствительностью зубов она может доставить незначительный дискомфорт, который легко устраняется аэрозольными и аппликативными анестетиками.

Противопоказания к процедуре Air-Flow?

Система Air-Flow совершенно безопасна для здоровья и относится к щадящим методам отбеливания. Противопоказанием к ее использованию не является даже наличие у пациента большого количества пломб.

Когда необходимо отбеливание зубов Air-Flow?

Чистка зубов методом Air-Flow показана для устранения мягкого налета и пигментных пятен, вызванных курением, чрезмерным употреблением красящих напитков (кофе, черного чая, красного вина), ношением брекетов. Особенно хорошо данный метод подходит пациентам с так называемыми «скученными зубами», которые просто невозможно вычистить обычной зубной щеткой. Также отбеливание зубов методом Air-Flow используется для профилактики пародонтоза, очищения виниров и керамических коронок, подготовки зубов перед домашним или клиническим отбеливанием.

Какие критерии качества системы «Air-Flow»?

Качественно проведенное отбеливание методом Air-Flow очистит зубы от налета и отложений, выровняет их поверхность и осветлит эмаль на пару тонов. При соблюдении элементарных правил гигиены полости рта полученный эффект сохранится в течение нескольких месяцев.
Что же касается цены на чистку зубов Air-Flow, то она вполне демократична. Стоимость услуг клиники «Дока-Дент» указана в соответствующем разделе сайта.