Другие статьи

Цельнолитые мостовидные протезы

Мостовидные зубные протезы
Одна из разновидностей несъемных конструкций в ортопедии – цельнолитые мостовидные протезы. Они крепятся на опорных зубах, расположенных с двух сторон от дефекта и предназначены для восстановления одной-двух единиц.

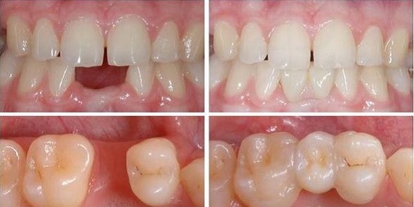
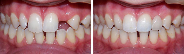
Цельнолитые мостовидные протезы: фото до и после

Виды цельнолитых мостовидных протезов

  • Без напыления – цельнолитой мостовидный протез имеет цвет полированного металла.
  • С напылением. На поверхность наносится покрытие из нитрида титана, которое придает изделию оттенок золота.
  • С облицовкой на передней поверхности.

Какой материал используют для цельнолитых мостовидных протезов

В качестве основного материала для изготовления цельнолитых мостовидных протезов применяются сплавы неблагородных металлов (никеля и хрома, кобальта и хрома), а также сплавы серебра с палладием, золота с платиной и чистое золото.
Хромоникелевые сплавы самые доступны по цене, однако в данном случае нередки аллергические реакции на никель. Также хромоникелевые сплавы подвержены риску быстрой деформации, поскольку недостаточно прочны.
Большей твердостью обладают цельнолитые мостовидные протезы из хромо-кобальтовых сплавов. Индивидуальная непереносимость такого состава также встречается гораздо реже.
Сплавы благородных металлов – лучший вариант для изготовления ортопедических конструкций. Они отличаются высокой устойчивостью к коррозии и превосходной совместимостью с тканями полости рта.

Преимущества и недостатки

Цельнолитые мостовидные протезы имеют определенные преимущества:
  • За счет отсутствия припоя изделия характеризуются особой прочностью и устойчивостью к постоянной функциональной нагрузке.
  • Конструкции хорошо фиксируются на опорных зубах и плотно прилегают к их стенкам, в том числе в области шейки. Благодаря этому снижается риск попадания внутрь частичек пищи и размножения под цельнолитым мостовидным протезом кариесогенных бактерий.
  • Протез, изготовленный методом литья, отличается длительным сроком эксплуатации. При условии качественного изготовления и хорошего ухода он может прослужить 10 и более лет.
  • Цельнолитой мостовидный протез не требует стачивания большого объема зубных тканей.
  • Методика изготовления позволяет точно воспроизвести анатомические особенности зубов и полностью восстановить их жевательную функцию.
Из недостатков цельнолитых мостовидных протезов стоит упомянуть следующие моменты:
  • Низкая эстетичность. Из-за того, что металл хорошо заметен в ротовой полости, протезирование подобными конструкциями показано лишь на тех участках зубного ряда, которые не попадают в зону улыбки.
  • Риск перегрузки пародонта при неправильном изготовлении цельнолитого мостовидного протеза.
  • Высокая теплопроводность металла. Это свойство создает дискомфорт во время приема горячей пищи или напитков.
  • Большая нагрузка на опорные зубы. Со временем это может привести к их расшатыванию.
  • Вероятность потемнения десны в области соприкосновения с коронками (если применяются сплавы неблагородных металлов).
  • Достаточно большой вес конструкции.
  • Перед установкой цельнолитого мостовидного протеза необходимо выполнить депульпирование зубов.
Кроме того, надо иметь в виду, что использование протезов из обычных металлов не подходит пациентам с повышенной чувствительностью, так как существует опасность появления аллергической реакции.