Другие статьи

Керамические виниры

Виниры
Если необходимо устранить незначительные недостатки зубов (сколы, пигментацию, старую неэстетичную пломбу), можно установить керамические виниры. Это очень тонкие пластинки из стоматологического фарфора, которые фиксируются на внешней поверхности зубов и придают им безупречный вид.
Стоимость керамических виниров выше композитных, но это окупается множеством преимуществ. Материал по своим свойствам максимально приближен к естественным тканям зубам – он обладает прозрачностью, что дает сходство с природной эмалью, а также отличается богатой палитрой оттенков – благодаря этому нет проблем с подбором цвета для каждого пациента.
Керамические виниры на зубы не подвержены влиянию пищевых красителей. Это качество объясняется применением гладкой и плотной глазури, которая защищает поверхность пластинки и не дает задерживаться зубному налету.
Высокая прочность керамики способствует долговечности зубных накладок, ведь они практически не изнашиваются. Еще одно немаловажное достоинство – гипоаллергенность материала: керамические виниры крайне редко вызывают раздражение десневых тканей.

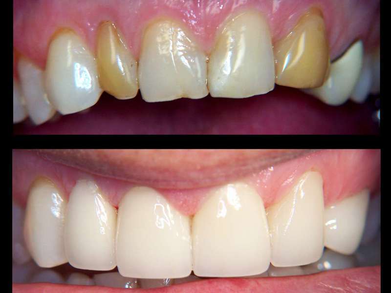
Керамические виниры: фото до и после

Этапы изготовления керамических виниров

Изготовление накладок из фарфора предусматривает клинические и лабораторные этапы. В первом случае работу проводит стоматолог: препарирует зуб под конструкцию, снимает оттиски с зубов, определяет цвет реставрации и фиксирует готовое изделие в полости рта.
Лабораторные этапы создания керамических виниров на зубы – это, собственно, их изготовление и коррекция (дополнение массой, дополнительный обжиг, дошлифовка и т.д.).

Показания и противопоказания

Керамические виниры на зубы рекомендуются в следующих случаях:
  • наличие приобретенных или врожденных дефектов эмали;
  • изменение цвета зубов в результате флюороза (из-за переизбытка в воде фтора на них появляются белые пятна) или некорректного лечения корневых каналов;
  • сколы на эмали, отлом краешка зуба;
  • широкие межзубные промежутки.
  • нарушения формы зуба.
Не стоит ставить керамические виниры в таких ситуациях:
  • зуб сильно разрушен кариесом либо другим заболеванием и большое количество твердой ткани потеряно
  • бруксизм или вредные привычки, которые могут спровоцировать поломку накладки;
  • после проведения фторирования;
  • патологии прикуса;
  • болезни пародонта.

Установка керамических виниров на зубы

Процедура установки керамических виниров выглядит так:
  • Проводится диагностическое обследование ротовой полости, с целью выявления поверхностей, которые необходимо отреставрировать посредством зубных накладок.
  • Выполняется профессиональная чистка зубов и, если нужно, лечебные процедуры.
  • С помощью шкалы эталона цвета врач подбирает подходящий оттенок. Здесь есть определенные нюансы. Зуб делится на три зоны (основную, прикорневую и режущий край), каждая из который имеет свой оттенок. В аналогичных зонах керамического винира на зубы эта особенность должна точно воспроизводиться.
  • Следующий этап – обтачивание наружной поверхности зуба на толщину будущей пластинки. Это нужно для того, чтобы винир не выделялся среди рядом стоящих зубов.
  • Далее снимаются слепки, а на зубы надеваются временные защитные пластинки.
  • Готовые накладки примеряются, и если все в порядке, фиксируются на клеящий материал.
  • Заключительный момент – полировка керамического изделия.
Узнать, сколько стоят керамические виниры, можно в прайс-листе. Но лучше записаться на прием к стоматологу для проведения диагностики и определения оптимального способа восстановления зубов. Тогда цены на керамические виниры будут озвучены с учетом конкретной клинической ситуации.