Другие статьи

Зубной камень

Профилактическая стоматология
Зубной камень — это затвердевший налет, который не был удален во время домашних процедур по уходу за полостью рта. Кроме эстетических проблем эти отложения способны доставить массу других неприятностей: они провоцируют различные стоматологические заболевания (кариес, гингивит, пародонтит) и в дальнейшем могут стать причиной потери зубов.
В клиниках «Дока-Дент» выполняется удаление камней с зубов. При этом стоматологи-гигиенисты успешно применяют и традиционные, и ультрасовременные методики.

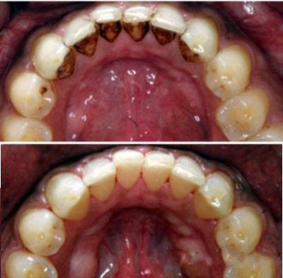
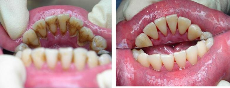
Зубной камень: фото до и после

Причины появления камня на зубах

Камень может появиться на зубах по нескольким причинам:
  1. Недостаточная гигиена зубов и полости рта. Многие люди чистят зубы наспех или пользуются некачественными зубными щетками и пастами. Каждый зуб требует тщательной очистки со всех сторон. Помимо щетки нужно обязательно использовать зубную нить, которая помогает вычистить налет из межзубных промежутков.
Наличие аномалий прикуса. При неправильном прикусе гигиена затруднена, а значит, налет беспрепятственно откладывается в недоступных для чистки местах.
  1. Неправильное питание. К образованию зубного камня может привезти злоупотребление газированными напитками, кофе, сладкой, жирной и мягкой пищей.
  2. Курение. В сигаретах содержатся смолы. Вместе с табачным дымом они попадают в полость рта, где прилипают к зубам. Этот налет довольно быстро затвердевает и превращается в камень.
  3. Употребление алкоголя. В спиртных напитках есть кислоты, которые интенсивно разрушают эмаль. Так создается идеальная среда для образования зубного камня.
  4. Жевание исключительно на одной стороне челюсти. На «недогруженной» стороне скапливается больше пищевого налета, а затем и зубного камня.
  5. Нарушение в организме обмена веществ и солевого баланса.

Показания к удалению зубного камня

Почистить камни на зубах необходимо не только в целях профилактики стоматологических заболеваний. Такая процедура должна предварять пломбирование, протезирование и отбеливание зубов.

Методы чистки зубов от камня

В настоящий момент используются разные методы удаления твердых зубных отложений: механический (ручная чистка с помощью специальных инструментов), химический (камень растворяется кислотами и щелочами), физический (применение ультразвука) и лазерный (зубные отложения дробятся лазерным лучом на мелкие части). В клиниках «Дока-Дент» практикуется удаление камня с зубов ультразвуком. Это один из самых безопасных способов решения данной проблемы.

Необходима ли анестезия при удалении зубного камня

Если при механическом удалении камня требуется местное обезболивание (процедура является весьма травматичной для десен), то при использовании ультразвукового аппарата анестезия обычно не нужна. Это безболезненная процедура, которая хорошо переносится пациентами. В исключительных случаях, когда человек страдает повышенной чувствительностью зубов, врач индивидуально подбирает подходящий препарат.

Критерии качества при чистке зубов от камня

Если чистка камней на зубах выполнена хорошо, если зубные поверхности полностью очищены от твердых отложений, десны не повреждены, а сама процедура прошла без серьезного дискомфорта.