Лечение кариеса

Компенсированная форма кариеса

Вялотекущая патология, постепенно разрушающая все слои зубных тканей – это компенсированная форма кариеса. Если острая форма развивается стремительно, то в данном случае заболевание прогрессирует на протяжении нескольких лет. Для него характерна частичная ремиссия. Иногда она длится всю жизнь, а иногда оборачивается рецидивом при стечении определенных обстоятельств. На сегодняшний день компенсированная форма кариеса более распространена, чем острая.

Симптомы компенсированной формы кариеса

Клиническая картина компенсированной формы кариеса отличается сглаженной симптоматикой. Как правило, выраженные болевые ощущения отсутствуют, а переход из одной стадии в другую протекает незаметно. Смена этапов заболевания продолжается от нескольких месяцев до нескольких лет.
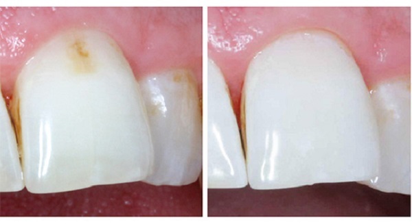
Кариозное поражение начинается с появления белого меловидного пятна, которое затем меняет цвет на бурый. Скорость поражения зуба при компенсированной форме кариеса зависит от площади пигментированного участка эмали. Чем он больше, тем быстрее будет разрушен зуб.
Сначала пятно имеет плотную структуру, потом становится шероховатым. Болей нет либо они появляются ненадолго в ответ на механическое или термическое раздражение. Пораженный зуб также активно реагирует на сладкое, но неприятные ощущения уходят после устранения раздражителя.
При компенсированной форме кариеса эмаль практически не страдает, но заболевание свободно поражает дентин. Поэтому нередко наблюдается картина, когда в целой с виду коронке за пару дней образуется полость с отмершими тканями.

Лечение компенсированной формы кариеса

Компенсированная форма кариеса в стоматологии лечится в зависимости от стадии заболевания:
  • Реминерализующая терапия. Процедура насыщения эмали зубов ионами фосфора и кальция целесообразна на начальном этапе заболевания и в качестве профилактики.
  • Глубокое фторирование на основе препаратов с кальцием, фтором и фосфором позволяет восстановить ткани эмали, если компенсированная форма кариеса обнаружена в стадии пятна.
  • Герметизация фиссур. Это запечатывание анатомических бороздок жевательных зубов. Чаще всего оно делается детям при поверхностном кариесе для предупреждения дальнейшего разрушения зубов. После процедуры в углублениях перестают скапливаться остатки пищи и размножаться бактерии.
  • Пломбирование полостей. Метод применяется при поражении глубоких слоев зуба. Врач высверливает инфицированные ткани и при необходимости удаляет пульпу. После этого корневые каналы и коронковая часть зуба пломбируются специально предназначенными для этого материалами.

Компенсированная форма кариеса: фото до и после

Если вас что-то беспокоит или вы хотели бы получить больше информации о компенсированной форме кариеса, приходите на консультацию в круглосуточную клинику «Дока-Дент».