Чаще всего кариес корня зуба встречается у пациентов старше 60 лет. Находясь глубоко под десной, он невидим при визуальном осмотре, поэтому вызывает определенные трудности в диагностике.
Заболевание вызывают бактерии и продукты их жизнедеятельности. Проникая в цемент корня, они вымывают из него минеральные компоненты, а без этой основы слой цемента истончается и разрушается.
Основные причины развития кариеса корня:
Заболевание вызывают бактерии и продукты их жизнедеятельности. Проникая в цемент корня, они вымывают из него минеральные компоненты, а без этой основы слой цемента истончается и разрушается.
Основные причины развития кариеса корня:
- Наличие десневого кармана, в котором скапливаются остатки пищи. Когда десна отодвигается от прикорневой зоны, в образовавшемся кармане собирается зубной налет. Он является питательной средой для микроорганизмов, чья активная деятельность провоцирует возникновение корневого кариеса.
- Осложнение пришеечного кариеса. При отсутствии лечения разрушение эмали углубляется и с шейки зуба переходит на корень.
- Серьезные заболевания десен: кариес корня зуба развивается при атрофических и дистрофических изменениях в десневых тканях.
- Отсутствие лечения запущенного кариеса. В этом случае патологический процесс начинается с коронки, затрагивает пришеечную область, после чего развивается уже кариес корня зуба.
- Некачественная постановка искусственной коронки при протезировании либо истечение ее срока годности. Опасность представляет зазор между десной и краем протеза, где скапливается налет и со временем образуется зубной камень. Разрушение зуба в этом месте даже может привести к отлому его наддесневой части.
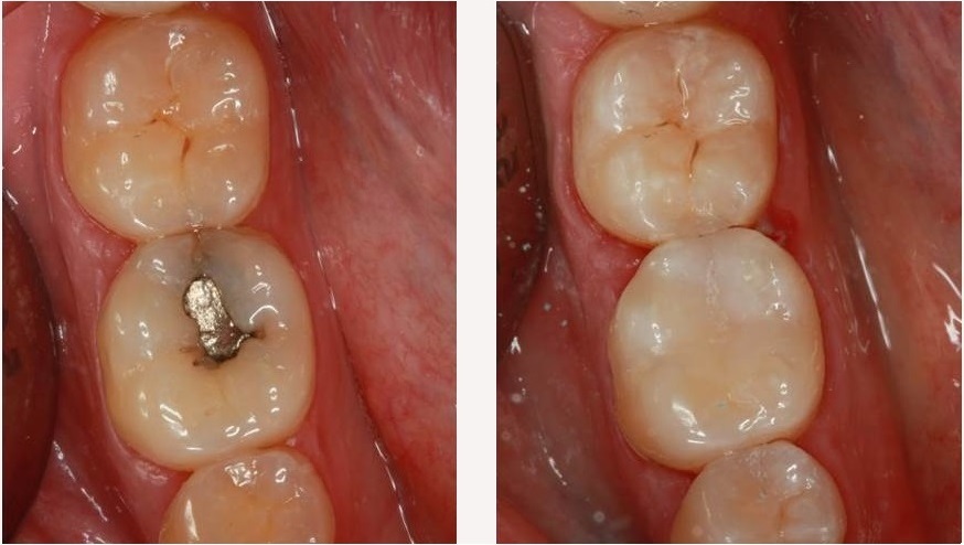
Кариес корня зуба: фото до и после
Симптомы кариеса корня зуба
Для кариеса корня зуба характерно отсутствие симптомов на ранних стадиях развития. Поскольку очаг инфекции скрыт под десной, внешне он длительное время может никак себя не проявлять. И лишь после формирования большой кариозной полости могут появиться следующие признаки заболевания:
- болевые ощущения от холодного, горячего, сладкого и при механическом воздействии (например, попадании под десну фрагментов твердой пищи);
- видимые эстетические нарушения ― кариес корня постепенно увеличивает площадь поражения и может просматриваться в пришеечной области;
- чувство дискомфорта, подвижности зуба во время еды – возникает, если нарушена опора в виде связочного аппарата.
Поскольку на начальных этапах кариеса корня зуба что-либо почувствовать человек не может, следует раз в полгода обращаться к стоматологу для диагностики, особенно если в деснах наблюдаются серьезные возрастные изменения.
Лечение кариеса корня зуба
Оптимальная тактика лечения кариеса корня зуба выбирается врачом в зависимости от локализации патологического процесса, глубины и площади поражения, тяжести заболевания, общего состояния полости рта и прочих нюансов.
Нередко терапии предшествует профессиональная гигиена, так как для доступа к кариозной полости и ее обработки без дополнительного инфицирования необходимо устранить зубные отложения.
В целом лечение кариеса корня зуба сводится к стандартным процедурам:
Особенность этого вида кариозного поражения ― в сложности доступа, поэтому стоматолог должен быть достаточно опытным для того, чтобы при лечении кариеса корня зуба не задеть десну.
Нередко терапии предшествует профессиональная гигиена, так как для доступа к кариозной полости и ее обработки без дополнительного инфицирования необходимо устранить зубные отложения.
В целом лечение кариеса корня зуба сводится к стандартным процедурам:
- высверливание пораженных тканей;
- покрытие образовавшейся полости антибактериальным составом;
- постановка пломбы из композитного материала.
Особенность этого вида кариозного поражения ― в сложности доступа, поэтому стоматолог должен быть достаточно опытным для того, чтобы при лечении кариеса корня зуба не задеть десну.
Профилактика
Основные меры, позволяющие сохранить здоровье зубов и предотвратить рецидивы заболевания ― это:
- своевременное лечение болезней десен, приводящих к обнажению корней;
- регулярная гигиена ротовой полости с помощью щетки, зубной нити и пасты с фтором, отличный способ профилактики кариеса корня зуба ― использование ирригатора;
- умеренное потребление легких углеводов и сахарозы;
- восстановление нормального слюноотделения ― при нарушении этой функции организма зубы не получают достаточного количества минеральных веществ, из-за чего также может развиться кариес корня; самое простое средство усилить слюноотделение ― жевательная резинка без сахара;
- профессиональная чистка зубов с последующим фторированием;
- устранение факторов задержки зубного налета на обнаженных корнях и искусственных коронках: исправление зубочелюстных патологий (например, скученности зубов, когда кариес корня возникает из-за невозможности нормальной гигиены), коррекция краев пломб, замена некачественных протезов.