Зубные протезы и виды зубных протезов

Съемные пластиночные протезы

Одним из наиболее распространенных средств устранения дефектов зубного ряда являются съемные пластиночные протезы. Такие ортопедические конструкции совсем недороги и доступны самому широкому кругу пациентов, что и обусловливает их устойчивую популярность.

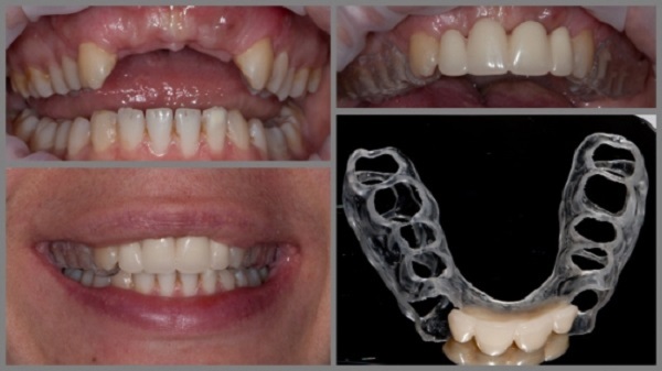
Съемные пластиночные протезы: фото до и после

Пластиночные (или пластинчатые) съемные зубные протезы бывают полными и частичными. Они состоят из следующих элементов:
  • Пластмассовый базис, который связывает все части конструкции и распределяет жевательную нагрузку на десны. Существуют также пластиночные протезы с металлическим базисом — их используют, если у пациента имеется аллергия на пластмассу.
  • Искусственные зубы. Они также изготавливаются из пластмассы (реже — из керамики) и прикрепляются к базису.
  • Крепежные элементы (кламмеры, микрозамки и т.д.). Эти детали присутствуют только в частичных протезах. Они предназначены для фиксации аппарата на опорных зубах.
Пластинчатые протезы для зубов имеют как преимущества, так и недостатки. К положительным качествам этих конструкций следует отнести:
  • быстроту изготовления;
  • легкость гигиенического ухода;
  • эстетичность;
  • невысокую цену.
Среди минусов необходимо упомянуть долгое привыкание, дискомфорт во время приема пищи, возможные нарушения дикции (особенно при использовании пластинчатого протеза на нижнюю челюсть).

Изготовление съемных пластиночных протезов

После проведения санации (подготовки полости рта к протезированию) врач снимает оттиски с челюстей пациента при помощи слепочной массы. Если перед протезированием были проведены хирургические процедуры, следует дождаться заживления мягких тканей, чтобы будущий протез более точно прилегал к деснам.
Сделанные слепки передаются в зуботехническую лабораторию, где по ним изготавливаются гипсовые модели. Далее проводится восковое моделирование, после чего воск заменяется базисным материалом — изготавливается непосредственно протез.
Готовая конструкция передается врачу-ортопеду, который примеряет ее в полости рта пациента и в случае необходимости корректирует.

Показания и противопоказания

Среди показаний к пластиночным протезам можно выделить следующие:
  • дефекты зубных рядов, которые нельзя исправить мостовидными конструкциями (например, концевой дефект);
  • необходимость в укреплении зубов, расшатанных заболеваниями пародонта;
  • полная адентия (отсутствие всех зубов);
  • восстановление зубного ряда на период изготовления несъемных ортопедических изделий (использование так называемых временных пластиночных протезов);
  • наличие аллергии на металл;
  • невозможность проведения имплантации.
Однако нередки ситуации, когда зубной пластинчатый протез в стоматологии ставить не рекомендуется. Некоторые ограничения носят лишь временный характер; к ним относятся:
  • воспалительные заболевания полости рта;
  • определенные нарушения прикуса;
  • вирусная инфекция;
  • обострение хронических заболеваний;
  • восстановительный период после инсульта или инфаркта;
  • туберкулез.
Существуют и общие противопоказания — например, некоторые болезни зубов и десен, не поддающиеся лечению, эпилепсия, шизофрения и др. Кроме того, этот вид протезирования не подходит людям публичных профессий (певцам, артистам, дикторам).

Срок службы современных зубных пластинчатых протезов

Срок эксплуатации пластиночных протезов неодинаков и может составлять от года до десяти лет. Это зависит и от разновидности конструкции, и от преследуемых целей (так, временные протезы устанавливаются лишь на несколько недель или месяцев), и от того, как долго десны пациента способны сохранять свою форму.
Цены на пластиночные протезы также различны. Примерную стоимость данной услуги в клиниках «Дока-Дент» можно посмотреть в прайс-листе.