Одно из самых распространенных стоматологических заболеваний – хронический пародонтит. Это длительно текущий воспалительный процесс, который неуклонно прогрессирует и приводит к разрушению тканей, удерживающих зуб.
Развитию заболевания способствует плохой уход за полостью рта. Воспаление может развиться на фоне проблем с иммунитетом, при кариесе, после травмы зуба или десны, под влиянием некоторых химических раздражителей.
Развитию заболевания способствует плохой уход за полостью рта. Воспаление может развиться на фоне проблем с иммунитетом, при кариесе, после травмы зуба или десны, под влиянием некоторых химических раздражителей.
По распространенности патологического процесса выделяют:
- Хронический локализованный пародонтит. Заболевание носит местный характер и затрагивает лишь некоторые ограниченные по размерам сегменты околозубных тканей. При своевременном обращении в стоматологию эта форма хорошо поддается лечению.
- Хронический генерализованный пародонтит. Воспалительный процесс поражает весь комплекс пародонтальных тканей. С учетом клинического течения патологии говорят о заболевании с частыми обострениями (1-2 раза в течение года), редкими обострениями (раз в 2-3 года) и без обострений.
По уровню выраженности хронического пародонтита различают три степени:
- легкую;
- среднетяжелую;
- тяжелую.
Симптомы хронического пародонтита
На начальном этапе хронического локализованного пародонтита, как и генерализованного, наблюдаются зуд и пульсация в деснах, чувство явного дискомфорта при пережевывании пищи, неприятный запах изо рта. Постепенно процесс разрушения нарастает. У зубов ослабевает опорный аппарат, обнажаются шейки, повышается чувствительность. Зубы расшатываются, между ними становятся заметны промежутки. Десны отекают и болят от прикосновения во время еды и ежедневных гигиенических процедур. Тяжелая степень хронического пародонтита сопровождается увеличением температуры тела, общим недомоганием и ощущением слабости.
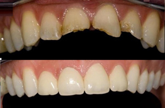
Хронический пародонтит: фото до и после
Лечение хронического пародонтита
Лечение хронического генерализованного пародонтита и локализованного бывает консервативным и хирургическим. Оно включает профессиональное удаление зубного камня, медикаментозную терапию, стоматологические операции, направленные на устранение зубодесневых карманов (кюретаж и др.). Результаты лечения наших пациентов можно увидеть в отзывах и на фото до и после проводимых в клинике процедур.
Чтобы воспользоваться услугами лучших специалистов Москвы, приходите в клинику «Дока-Дент». Записывайтесь на прием по телефону ближайшего к вам филиала или заполните форму на сайте.
Чтобы воспользоваться услугами лучших специалистов Москвы, приходите в клинику «Дока-Дент». Записывайтесь на прием по телефону ближайшего к вам филиала или заполните форму на сайте.