По сути, декомпенсированная форма кариеса — это интенсивно развивающийся патологический процесс. Поражение твердых зубных тканей протекает очень активно и приводит к их быстрому разрушению. Нередко при такой форме заболевания кариозные полости имеются сразу во многих зубах.
Декомпенсировання форма кариеса считается самой опасной из-за стремительности распространения. Всего за несколько недель человек может потерять зуб.
Декомпенсировання форма кариеса считается самой опасной из-за стремительности распространения. Всего за несколько недель человек может потерять зуб.
Причинами развития патологии являются:
- некачественная гигиена полости рта;
- понижение бактерицидных свойств слюны;
- неправильное питание;
- нездоровый образ жизни;
- наследственный фактор;
- ослабление иммунитета.
Когда зуб не лечат, декомпенсированная форма кариеса чревата серьезными осложнениями. Последствиями запущенного заболевания являются:
- пульпит;
- периодонтит;
- раскалывание зуба;
- пародонтит;
- потеря зуба.
Симптомы декомпенсированной формы кариеса
О наличии декомпенсированной формы кариеса сигнализируют такие симптомы, как:
- множественные внешне заметные повреждения эмали зубов;
- острые продолжительные зубные боли;
- реакция на холод, механические и химические раздражители.
При появлении таких ощущений необходимо сразу же показаться стоматологу. Например, прийти на диагностику в клинику «Дока-Дент», где услуги специалистов доступны 24 часа в сутки.
Чем ниже сопротивляемость организма, тем быстрее развивается декомпенсированная форма кариеса. Поэтому она чаще всего встречается у людей с пониженным иммунитетом. Наиболее подвержены риску дети, люди, страдающе нарушением обмена веществ, те, кто недавно перенес инфекционное заболевание и пожилые.
Чтобы избежать появления декомпенсированной формы кариеса, рекомендуется профилактика в домашних условиях и в стоматологической клинике. Плановая санация ротовой полости должна проводиться 1-3 раза в год.
Чем ниже сопротивляемость организма, тем быстрее развивается декомпенсированная форма кариеса. Поэтому она чаще всего встречается у людей с пониженным иммунитетом. Наиболее подвержены риску дети, люди, страдающе нарушением обмена веществ, те, кто недавно перенес инфекционное заболевание и пожилые.
Чтобы избежать появления декомпенсированной формы кариеса, рекомендуется профилактика в домашних условиях и в стоматологической клинике. Плановая санация ротовой полости должна проводиться 1-3 раза в год.
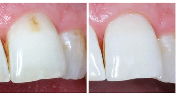
Декомпенсированная форма кариеса: фото до и после
Лечение декомпенсированной формы кариеса
Так как данный вид поражения зубов отличается болезненностью, все этапы лечения декомпенсировнной формы кариеса выполняются под местной анестезией. В круглосуточной стоматологии «Дока-Дент» применяются безопасные гипоаллергенные препараты, которые не противопоказаны даже беременным женщинам.
Лечение предусматривает следующие манипуляции:
По вопросам лечения и профилактики декомпенсированной формы кариеса можно обращаться в любой филиал клиники «Дока-Дент». Запись к специалистам осуществляется по телефону или на сайте.
Лечение предусматривает следующие манипуляции:
- удаление пораженных тканей при помощи бормашины;
- депульпирование зуба (по показаниям), чистку и пломбировку зубных каналов;
- восстановление анатомической формы зуба с использованием композитных материалов светового отверждения.
По вопросам лечения и профилактики декомпенсированной формы кариеса можно обращаться в любой филиал клиники «Дока-Дент». Запись к специалистам осуществляется по телефону или на сайте.