Этап кариеса, наступающий после поверхностного и предшествующий глубокому, получил название «средний кариес». Он характеризуется повреждением не только эмали, но и слоя дентина, однако пульпа при этом еще не затронута. Дентин имеет пористую структуру с большим количеством микроканальцев, что способствует быстрому распространению кариеса и образованию полости.
Существуют две формы среднего кариеса:
Если своевременно не проведено лечение среднего кариеса, заболевание переходит в более тяжелую стадию, чреватую многими осложнениями и даже потерей зуба. Поэтому при обнаружении первых же признаков болезни следует отправиться к врачу, не дожидаясь появления острой боли.
Существуют две формы среднего кариеса:
- Острая. В зубе появляется небольшое отверстие с хрупкими краями, заполненное размягченным дентином.
- Хроническая. Выражается довольно широкой полостью с твердыми стенками и дном. В ней также присутствует пигментированный дентин, но в меньших количествах.
Если своевременно не проведено лечение среднего кариеса, заболевание переходит в более тяжелую стадию, чреватую многими осложнениями и даже потерей зуба. Поэтому при обнаружении первых же признаков болезни следует отправиться к врачу, не дожидаясь появления острой боли.
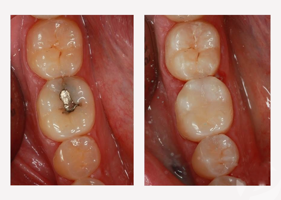
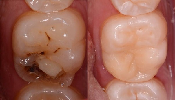
Средний кариес: фото до и после
Симптомы среднего кариеса
Среди симптомов, характерных для среднего кариеса, следует выделить:
- Кратковременные болевые ощущения. Как правило, они вызываются температурными или химическими раздражителями. При хроническом течении заболевания зуб зачастую совсем не болит — это объясняется разрушением дентиноэмалевых соединений, ослабляющим раздражение пульпы.
- Эстетический дефект зуба. Невооруженным глазом видна полость, которая после еды забивается ее остатками.
- Неприятный запах изо рта. Данный симптом среднего кариеса обусловлен как раз таки перегнивающими в полости зуба частичками пищи.
Лечение среднего кариеса
Прежде, чем начать лечение среднего кариеса, необходимо провести тщательную диагностику и исключить другие заболевания со схожей симптоматикой (глубокий кариес, клиновидный дефект, хронический периодонтит, эрозию).
Лечение среднего кариеса проводится только с применением анестезии — особенно это касается острой формы заболевания, поскольку процедуры могут оказаться для пациента весьма болезненными.
Сам же алгоритм лечения среднего кариеса довольно типичен. Кариозная полость рассверливается при помощи бормашины. Затем пораженные, неспособные к регенерации зубные ткани тщательно удаляются. Полость очищается от размягченного дентина, ее стенки и дно обрабатываются специальными инструментами, а затем дезинфицируются антисептическими препаратами. Далее на дно полости помещается изолирующая прокладка, а сверху устанавливается постоянная пломба. На заключительном этапе пломба корректируется при помощи полировочных дисков, алмазных боров и других приспособлений.
Обычно лечение среднего кариеса осуществляется за одно посещение стоматолога, однако в сложных случаях может потребоваться повторный визит. Если зуб серьезно разрушен, для его восстановления используют специальные штифты, которые становятся основой для реставрации коронковой части композитными материалами.
Лечение среднего кариеса проводится только с применением анестезии — особенно это касается острой формы заболевания, поскольку процедуры могут оказаться для пациента весьма болезненными.
Сам же алгоритм лечения среднего кариеса довольно типичен. Кариозная полость рассверливается при помощи бормашины. Затем пораженные, неспособные к регенерации зубные ткани тщательно удаляются. Полость очищается от размягченного дентина, ее стенки и дно обрабатываются специальными инструментами, а затем дезинфицируются антисептическими препаратами. Далее на дно полости помещается изолирующая прокладка, а сверху устанавливается постоянная пломба. На заключительном этапе пломба корректируется при помощи полировочных дисков, алмазных боров и других приспособлений.
Обычно лечение среднего кариеса осуществляется за одно посещение стоматолога, однако в сложных случаях может потребоваться повторный визит. Если зуб серьезно разрушен, для его восстановления используют специальные штифты, которые становятся основой для реставрации коронковой части композитными материалами.
Профилактика среднего кариеса
Профилактика может быть направлена как на устранение кариесогенной обстановки в полости рта, так и на повышение сопротивляемости тканей зуба среднему кариесу. Среди основных профилактических мер следует выделить:
- систематические посещения стоматологического кабинета (не реже раза в полгода);
- регулярный уход за зубами и ротовой полостью;
- использование фторсодержащих паст;
- соблюдение правильной техники чистки зубов;
- использование специальных растворов для ежедневного полоскания рта;
- снижение потребления сахара;
- употребление после приема пищи жевательных резинок, содержащих ксилит;
- устранение зубочелюстных деформаций (скученности зубов и др.).
Кроме того, чтобы уменьшить риск возникновения среднего кариеса, стоматологи рекомендуют проведение специальных мероприятий, направленных на улучшение состояния полости рта, таких, как профессиональная чистка зубов, фторирование, запечатывание фиссур, прием определенных лекарственных препаратов и т.д. Посоветуйтесь со своим лечащим врачом — он подскажет лучшие способы профилактики.