Самой первой стадией кариозного процесса является начальный кариес. Заметить его непросто, но даже при обнаружении человек не торопится посетить стоматолога.
Зубная эмаль состоит из соединений кальция, фтора, фосфора и белковой матрицы, пронизывающей всю ее структуру. При длительном воздействии кислот, например, из-за неудовлетворительной гигиены ротовой полости, из эмали вымываются минеральные компоненты. Это и есть главная причина возникновения начального кариеса.
При деминерализации эмаль истончается, становится пористой. На раннем этапе кариозные ткани выглядят как белесоватое пятно. В дальнейшем оно пигментируется красящими веществами и становится темнее, приобретая оттенок от светло-коричневого до практически черного.
Зубная эмаль состоит из соединений кальция, фтора, фосфора и белковой матрицы, пронизывающей всю ее структуру. При длительном воздействии кислот, например, из-за неудовлетворительной гигиены ротовой полости, из эмали вымываются минеральные компоненты. Это и есть главная причина возникновения начального кариеса.
При деминерализации эмаль истончается, становится пористой. На раннем этапе кариозные ткани выглядят как белесоватое пятно. В дальнейшем оно пигментируется красящими веществами и становится темнее, приобретая оттенок от светло-коричневого до практически черного.
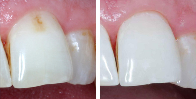
Начальный кариес: фото до и после
Симптомы начального кариеса
На стадии начального кариеса еще нет каких-то настораживающих симптомов, ведь на холодовые и химические раздражители зуб не реагирует. Единственной жалобой может быть чувство оскомины (вяжущее ощущение во рту при попадании на зуб сладкой, кислой, или соленой пищи), но эта проблема появляется далеко не у всех.
Заподозрить начальный кариес можно по тому, что какой-то участок зуба потерял блеск или на нем появилось пятно диаметром 3-5 мм. Но точная диагностика заболевания доступна лишь при профилактическом осмотре в стоматологическом кабинете.
Заподозрить начальный кариес можно по тому, что какой-то участок зуба потерял блеск или на нем появилось пятно диаметром 3-5 мм. Но точная диагностика заболевания доступна лишь при профилактическом осмотре в стоматологическом кабинете.
Лечение начального кариеса
Если проблема выявлена на этапе деминерализации эмали, лечение начального кариеса можно провести без применения бормашины. Для этого зубную эмаль насыщают кальцием, фтором и фосфором. Но учитывая, что любые зубные отложения препятствуют поступлению в эмаль минералов, первым делом необходимо провести профессиональную гигиену ротовой полости, во время которой зубной камень и налет будут удалены, а поверхности зубов, пломб и ортопедических приспособлений отшлифованы.
Далее лечение начального кариеса включает собственно реминерализирующую терапию, когда на зубы наносятся препараты с высокой концентрацией необходимых химических элементов. Для полного восстановления эмали может потребоваться 10-20 процедур. Другой способ лечения — электрофорез с растворами ремодента, фосфата или глюконата кальция. Продолжительность такой терапии зависит от степени поражения эмали.
Но если пациент обратился к стоматологу, когда пятно из белого превратилось в темное, лечение начального кариеса методом реминерализации может быть неэффективным. В этом случае пораженная поверхность либо сошлифовывается с последующим нанесением минеральных препаратов, либо высверливается и пломбируется.
Далее лечение начального кариеса включает собственно реминерализирующую терапию, когда на зубы наносятся препараты с высокой концентрацией необходимых химических элементов. Для полного восстановления эмали может потребоваться 10-20 процедур. Другой способ лечения — электрофорез с растворами ремодента, фосфата или глюконата кальция. Продолжительность такой терапии зависит от степени поражения эмали.
Но если пациент обратился к стоматологу, когда пятно из белого превратилось в темное, лечение начального кариеса методом реминерализации может быть неэффективным. В этом случае пораженная поверхность либо сошлифовывается с последующим нанесением минеральных препаратов, либо высверливается и пломбируется.
Профилактика
Основной способ предотвращения начального кариеса — регулярная и правильная гигиена ротовой полости. Для этого недостаточно дважды в день чистить зубы. Необходимо пользоваться зубной нитью, а после еды употреблять жевательную резинку без сахара. Очень важно правильно подобрать зубную щетку и пасту.
Избежать возникновения, а значит, и лечения начального кариеса помогут следующие советы:
Данные меры профилактики действенны в любом возрасте, и если уделять им внимание, лечение начального кариеса, скорее всего, не понадобится.
Избежать возникновения, а значит, и лечения начального кариеса помогут следующие советы:
- укрепляйте иммунитет, употребляйте витамины;
- питайтесь рационально — в ежедневном меню должно присутствовать большое количество овощей и фруктов, а сладостей, наоборот, должно быть как можно меньше (легко усваиваемые углеводы провоцируют развитие начального кариеса);
- принимайте препараты кальция и фтора;
- 1-2 раза в год посещайте стоматолога для профессиональной гигиены и реминерализующей терапии.
Данные меры профилактики действенны в любом возрасте, и если уделять им внимание, лечение начального кариеса, скорее всего, не понадобится.