Лечение в стоматологии часто требует пломбирования, и, конечно, пациентов интересует, сколько стоят пломбы на зубы. В клинике «Дока-Дент» в Москве используются разные материалы, отличающиеся друг от друга физическими характеристиками и ценой. Наилучшее средство для реставрации в каждом случае подбирается индивидуально.
От чего зависит цена на пломбы для зубов
Если надо поставить пломбу, сколько будет стоить эта услуга, зависит от нескольких факторов:
- Степень повреждения зуба. Чем больше разрушение, тем больше материала уйдет на восстановление зуба.
- Расценки на пломбировочные материалы. Самые дешевые в стоматологии – пломбы амальгамные и цементные, а наиболее дорогие из нанокомпозитов - современных реставрационных материалов с улучшенными физическими и химическими свойствами.
- Техника восстановления зуба. Помимо классической техники существуют специальные методики, которые позволяют точно передать цветовые акценты твердых зубных тканей. Такая реставрация значительно дороже обычных пломб для зубов.
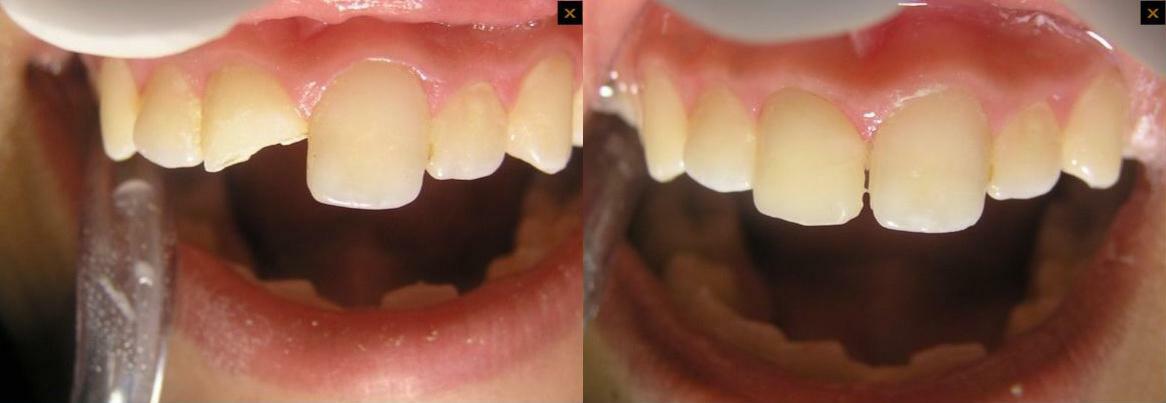
Сколько стоит пломба на зуб: фото до и после
Виды пломб
На зубные пломбы цены также зависят от назначения того или иного материала. Все они делятся на временные и постоянные:
Такие пломбы рассчитаны на ограниченный период. Чаще всего их ставят на 2-5 суток. Но в стоматологии есть и материалы, которые могут находиться в зубе 3-6 месяцев.
Цель временного пломбирования – защитить полость зуба от слюны, бактерий и остатков пищи, изолировать от внешних воздействий противовоспалительные медикаментозные вкладки при кариесе, пульпите, гранулеме или кисте. Для этого используется особый материал, устойчивый к влаге и химическому составу слюны. Но поскольку он не отличается повышенной прочностью и служит недолго, такие пломбы зубов стоят недорого.
Их основное отличие – долговечность, пластичность и превосходные эстетические качества, необходимые для воспроизведения анатомической формы, цвета и физических характеристик зуба. В стоматологии цены на пломбы постоянного назначения разные, и у пациентов есть возможность выбрать подходящий для себя вариант, ориентируясь на собственные возможности, рекомендации специалиста, отзывы пациентов и фото до и после лечения.
В прайс-листе можно ознакомиться с ориентировочной информацией. А чтобы рассчитать конкретную сумму лечения, надо записаться к врачу. По результатам диагностики доктор подберет оптимальный материал и озвучит его стоимость. Ждем вас в «Дока-Дент»!
- Материалы для временного использования.
Такие пломбы рассчитаны на ограниченный период. Чаще всего их ставят на 2-5 суток. Но в стоматологии есть и материалы, которые могут находиться в зубе 3-6 месяцев.
Цель временного пломбирования – защитить полость зуба от слюны, бактерий и остатков пищи, изолировать от внешних воздействий противовоспалительные медикаментозные вкладки при кариесе, пульпите, гранулеме или кисте. Для этого используется особый материал, устойчивый к влаге и химическому составу слюны. Но поскольку он не отличается повышенной прочностью и служит недолго, такие пломбы зубов стоят недорого.
- Материалы для постоянного пломбирования.
Их основное отличие – долговечность, пластичность и превосходные эстетические качества, необходимые для воспроизведения анатомической формы, цвета и физических характеристик зуба. В стоматологии цены на пломбы постоянного назначения разные, и у пациентов есть возможность выбрать подходящий для себя вариант, ориентируясь на собственные возможности, рекомендации специалиста, отзывы пациентов и фото до и после лечения.
В прайс-листе можно ознакомиться с ориентировочной информацией. А чтобы рассчитать конкретную сумму лечения, надо записаться к врачу. По результатам диагностики доктор подберет оптимальный материал и озвучит его стоимость. Ждем вас в «Дока-Дент»!