Пломбирование зубов

Пломбирование молочных зубов

Пожалуй, никого события в семье, связанного со здоровьем и развитием малыша, не ждут так, как появления первых зубиков. Но проходит буквально пара лет – и зубам малыша уделяется незаслуженно мало внимания. Почему так? Всему виной прочно засевшее в родительских умах заблуждение о том, что за молочными зубами ухаживать не надо. Дескать, все равно выпадут. Мало кто знает, что на самом деле, не пресловутая наследственность, а именно уход и внимание к состоянию молочных зубов – это залог и гарант здоровья зубов коренных. Стоматологи всего мира, и врачи клиники Дока-Дент вместе с ними, призывают родителей начинать ухаживать за детскими зубами с самого момента их появления. Для этого есть все необходимые средства, которые помогут избежать кариеса и пломбирования молочных зубов. Можно по старинке почистить малышу зубки марлей, можно купить специальный напалечник, малышам от года уже вполне подойдет самая настоящая, хоть и миниатюрная зубная щетка.

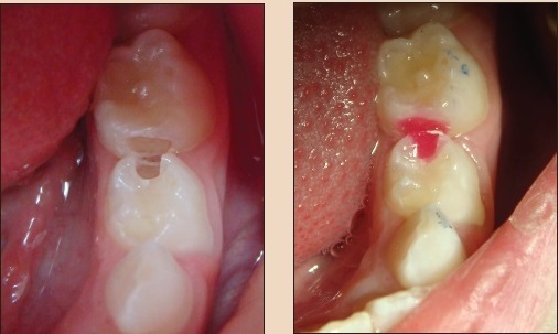
Пломбирование молочных зубов: фото до и после

Невычищенные зубы, неудаленный вовремя налет – это причина множества заболевания и осложнений. Бактерии быстро разъедают эмаль, проникая в глубокие слови дентина, разрушая зуб и поражая его нерв. Лечение и пломбирование молочных зубов у детей – такая же необходимость, как и коренных у взрослых. У нас есть весь арсенал средств, которые помогут сделать лечение приятным и веселым – например, цветные детские пломбы. Помните, что зубы малышей гораздо более подвержены агрессивному воздействию внешних факторов.
Например, у грудничков даже есть свое, отдельное от взрослых заболевание. Оно называется бутылочный кариес. Детишки часто кушают на ночь, и порой – особенно в возрасте от полутора лет – этот последний прием пищи не самый полезный. Фруктовый сок, какао – все эти напитки сладкие, и на ночь зубки остаются без защиты.
Словом, и профилактика, и лечение, в том числе пломбирование молочных зубов – это обязательная процедура в детском графике врачебных посещений. Остается ответить на один вопрос – где это можно сделать? Малышам и ребятам постарше нужен свой врач. Поэтому мы приглашаем вас к нам, в клинику Дока-Дент, где есть специальные детские врачи, которые не только профессионально более подкованы в работе с детьми, но и всегда найдут подходу даже к самому большому капризуле. Не секрет, что визит к стоматологу – не самая приятная процедура. Поэтому мы постарались в буквальном смысле делать ее ярче. У нас уникальная подборка цветных детских пломб, и малыш сам сможет выбрать понравившуюся.