Периодонтит

Апикальный периодонтит

Хронический или острый апикальный периодонтит — это воспалительный процесс, протекающий в околокорневых тканях. Он проявляется постепенным разрушением связочного аппарата зуба с образованием гранулем и кист.
Основная причина возникновения развития данного заболевания — попадание инфекции в область, где располагается верхушка корня зуба. Это может происходить разными путями:
  • Заражение периодонта в результате запущенного пульпита. Острый апикальный периодонтит развивается, когда вызвавшие гибель нерва бактерии проникают в околозубные ткани через отверстие в верхушке корня.
  • Некачественное эндодонтическое лечение. В этом случае заражение происходит в результате деятельности оставшихся в корневых каналах микробов.
  • Инфицирование после травм (ударов, ушибов, вывиха), а также при появлении микротравм, вызванных слишком высокой пломбой или неправильно сконструированным зубным протезом.
Кроме того, периодонт может пострадать при воздействии на него сильных лекарственных препаратов — формалина, мышьяковистой кислоты и пр., которые применяются во время лечения других заболеваний.

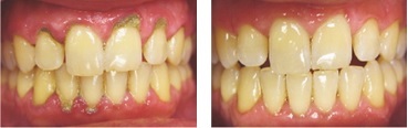
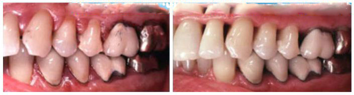
Апикальный периодонтит: фото до и после

Симптомы хронического апикального периодонтита

Опасность хронического апикального периодонтита заключается в том, что человек практически не ощущает воспаления. Бессимптомное течение не позволяет своевременно диагностировать заболевание и провести его лечение. Следствием этого становится утрата зуба.
Среди признаков, которые должны насторожить, можно отметить такие:
  • незначительные болезненные ощущения при надавливании на зуб (например, при накусывании твердых продуктов);
  • легкий дискомфорт при постукивании по зубу;
  • образование на десне свищевого хода — через это отверстие наружу выходят продукты распада, после чего болезненные ощущения стихают, но хронический апикальный периодонтит продолжает прогрессировать.
При затяжном течении болезни периоды спокойствия сменяются обострениями, которые чаще всего возникают при падении иммунитета осенью либо весной.

Лечение апикального периодонтита

Терапия требует нескольких посещений стоматолога. При первом визите для лечения апикального периодонтита под местной анестезией выполняются препарирование полости с расширением корневого канала и удаление инфицированной пульпы. Если периодонтит осложнен периоститом, врач рассекает надкостницу для дренирования раны. Также в этом случае назначается курс антибиотиков.
При повторном визите специалист оценивает состояние полости, и если у пациента отсутствуют жалобы, обрабатывает каналы корня с применением специальных инструментов и лекарственных препаратов (антисептиков и пр.). В завершении каналы обезжириваются, высушиваются и пломбируются. Важный этап лечения апикального периодонтита — контрольная рентгенологическая диагностика, которая показывает качество заполнения каналов. Если все в норме, на зуб ставится постоянная пломба.
Когда попытки вылечить зуб не дают результатов, его удаляют.

Профилактика

Чтобы предупредить развитие хронического апикального периодонтита прежде всего необходима профилактика кариеса и пульпита. Для этого необходимо соблюдать следующие условия:
  1. Регулярный, правильный уход за полостью рта.
  2. Ограничение в рационе сладких продуктов.
  3. Систематическое посещение стоматолога.
  4. Обращение к специалисту при первых симптомах заболевания зубов или десен.
Если вы уже проходите лечение апикального периодонтита, избежать рецидива заболевания поможет неукоснительное соблюдение всех рекомендаций врача.