Зубные протезы и виды зубных протезов

Бюгельные протезы на замках

Как следует из названия, бюгельные протезы на замках крепятся на зубах с помощью особых замочков (аттачменов). В отличие от кламмеров такой тип фиксации более эстетичен, поскольку его элементы совершенно не видны постороннему глазу. Каждый аттачмен состоит из двух половинок: одна находится на самом ортопедическом изделии, а другая прикреплена к металлокерамической коронке, надетой на опорный зуб. При установке бюгельного протеза с замковым креплением эти части сцепляются друг с другом, что гарантирует надежную фиксацию в полости рта во время функционирования устройства и в состоянии физиологического покоя.

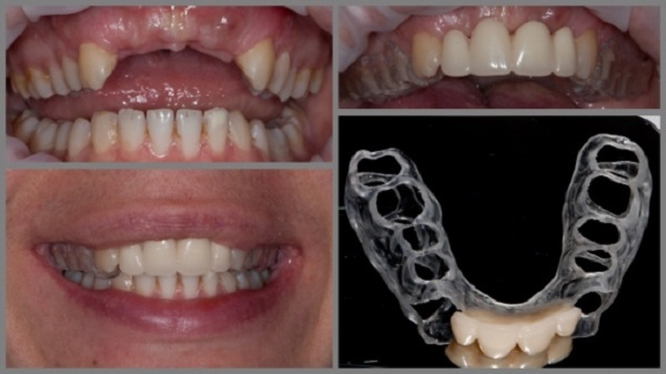
Бюгельные протезы на замках: фото до и после

Показания и противопоказания бюгельного протезирования на замках

Замковый бюгельный протез можно порекомендовать в следующих случаях:
  • отсутствие подряд трех и более зубов;
  • невозможность использования другого вида ортопедической конструкции;
  • неправильный прикус;
  • склонность к бруксизму (скрежетанию зубами во время сна);
  • повышенная стираемость зубов – в этом случае зубные протезы на замках предпочтительнее конструкций на кламмерах;
  • необходимость шинирования при болезнях пародонта;
  • плоское небо;
  • хорошо выраженные верхнечелюстные бугры;
  • сахарный диабет;
  • заболевания крови с пониженной стойкостью капилляров.
Что касается противопоказаний, то бюгельное протезирование на замках не выполняется, если у пациента:
  • низкие естественные коронки зубов;
  • дефекты опорных зубов;
  • недостаточная величина язычно-щечного пространства.

Бюгельные протезы с замковой фиксацией: преимущества и недостатки

Помимо высокой эстетики данных ортопедических изделий бюгельное протезирование на замках имеет и другие весомые преимущества:
  • малые размеры замкового крепления дают возможность применять конструкцию в любых отделах зубного ряда;
  • при жевании нагрузка правильно распределяется на опорные зубы (строго по оси);
  • с их помощью можно восстановить целостность зубного ряда при пародонтозе;
  • благодаря высокой прочности металлического каркаса вероятность поломки сводится к нулю;
  • при установке или снятии бюгельный протез с замковой фиксацией не портит зубную эмаль;
  • место сцепки элементов аттачменов не задевает, а соответственно, не травмирует десну;
  • конструкция не вызывает дискомфорта при приеме пищи и не нарушает дикцию;
  • устройство легко снимается и надевается.
Однако при всех достоинствах у этого вида протезирования есть и определенные недостатки, которые нужно иметь в виду для принятия окончательного решения:
  • высокая цена на бюгельные протезы на замках, что объясняется использованием дорогостоящих материалов и уникального оборудования при их изготовлении;
  • необходимость обязательного обтачивания опорных зубов, а в ряде случаев может потребоваться и депульпирование;
  • аттачмены бюгельного протеза с замковой фиксацией нуждаются в периодической замене, поскольку при данном способе крепления вся нагрузка приходится именно на опорные зубы;
  • неспособность остановить атрофию костной ткани челюсти;
  • участие в конструкции бюгельных протезов на замках большого количества зубов.

Срок службы и как ухаживать

Замковый бюгельный протез не представляет сложностей в применении и в обращении не требует особых навыков. Чистят его дважды в день под проточной водой, используя щетку и неабразивную пасту. Снимать протез на ночь нет необходимости, но если вы хотите, чтобы слизистая отдохнула от постоянной нагрузки, конструкцию можно вынуть изо рта и поместить в специальный дезинфицирующий раствор. При соблюдении этих нехитрых правил и периодической коррекции ортопедического изделия зубные протезы на замках способны прослужить от пяти до семи лет.