Импланты зубов

Импланты зубов

Использование имплантов - оптимальный способ протезирования. С их помощью можно зафиксировать единичную коронку, зубной мост или съемный протез. Прочное крепление к кости дает максимальное ощущение комфорта, поэтому, несмотря на достаточно высокую стоимость имплантов, все больше пациентов отдает им предпочтение.

Показания и противопоказания к установке зубных имплантов

Импланты используют в следующих случаях:
  • не хватает одного ̸ нескольких зубов;
  • нет зубов с краю зубного ряда;
  • адентия (полное отсутствие зубов).
А противопоказаниями к этому виду протезирования являются:
  • заболевания крови;
  • гипертоническая болезнь;
  • сахарный диабет;
  • ишемическая болезнь сердца;
  • заболевания центральной нервной системы;
  • тяжелые формы болезней пародонта;
  • онкологические заболевания;
  • деформации прикуса;
  • туберкулез;
  • системные заболевания соединительной ткани;
  • патологи иммунитета;
  • возраст пациента до 16 лет.
Не рекомендуется ставить импланты зубов тем, кто курит, злоупотребляет алкоголем, не соблюдает гигиену полости рта.

Какие бывают стоматологические импланты

По конструкции импланты бывают:
  • Разборные. Состоят из корневой части и абатмента. Это более дорогие имплантанты зубов: цены на них обусловлены сложностью конструкции.
  • Неразборные. Представляют собой монолитные изделия, в которых абатмент и внутренняя часть изготовлены из одного куска материала.
По форме зубные импланты могут быть:
  • Корневидные. Для установки требуют определенного объема костной ткани.
  • Пластиночные. Показаны пациентам с узкой костью.
  • Комбинированные. Применяются, когда состояние кости не позволяет воспользоваться другими вариантами имплантов зубов.
По месту фиксации различают изделия:
  • Внутрикостные (эндооссальные). Вводятся в костную ткань – в то место, где был настоящий корень зуба.
  • Поднадкостничные (субпериостальные). Подходят для узкой челюсти, внедряются между костью и покрывающей ее соединительной тканью.
  • Внутрикостно-поднадкостничные. Предназначены для случаев выраженной атрофии челюстной кости и когда необходимо добиться наибольшей устойчивости конструкции.
  • Внутризубно-внутрикостные (эндодонто-эндооссальные). Помогают сохранить разрушенный или подвижный зуб.

Достоинства имплантов зубов

  • Долговечность. Производители систем премиум-класса дают пожизненную гарантию на свои изделия, но даже бюджетные варианты демонстрируют отличные результаты: грамотно установленные дешевые импланты служат дольше обычного протеза.
  • Имплантация обеспечивает правильную нагрузку на челюсть, поэтому костная ткань не деформируется и не рассасывается, а в челюстно-лицевом суставе не развиваются патологии, приводящие к появлению головных болей, проблемам с прикусом и изменению формы лица.
  • Искусственная конструкция полностью имитирует настоящий зуб и не выделяется в зубном ряду, не менее естественно смотрится и протез, установленный на всю челюсть.
  • Нет ощущения присутствия во рту инородного тела, не возникает проблем с пережевыванием твердой пищи.
  • Для протезирования не нужно обтачивать здоровые соседние зубы.
  • Коронки надежно фиксируются и прекрасно выдерживают нагрузки. При необходимости их легко заменить.
  • Не требуется специального ухода – достаточно соблюдать обычную ежедневную гигиену полости рта.

Недостатки имплантов

Главный аргумент против дентальной имплантации - отсутствие полной гарантии того, что имплантанты зубов приживутся. Обратившись к хорошему специалисту и строго следуя рекомендациям врача, этот риск можно снизить. Но независимо от того, сколько стоят импланты, и как хорошо вы за ними ухаживаете, индивидуальная реакция организма непредсказуема.
По сравнению с другими видами восстановления зубов, имплантация более травматична. После оперативного вмешательства возможны болезненные ощущения, а иногда и осложнения.
К недостаткам также можно отнести длительность процесса остеоинтеграции, обширный перечень противопоказаний и необходимость соблюдать определенные условия: при недостаточном объеме костной ткани придется делать наращивание (процедура не входит в стоимость имплантанта зуба).
И, наконец, это большие расходы на протезирование. На зубные импланты цены выше, чем на традиционные съемные и несъемные ортопедические конструкции.

Как происходит установка стоматологических имплантов

В клинике «Дока-Дент» в Москве процедура восстановления зубов начинается с обследования. Определяется наличие заболеваний, при которых противопоказано хирургическое вмешательство, делаются анализы крови (общий, на сахар, ВИЧ, гепатит), проводится диагностика состояния полости рта.
Чтобы инплантанты зубов не доставили проблем, необходима тщательная подготовка ротовой полости. Производится профессиональная чистка зубов, больные зубы лечатся, старые пломбы и коронки меняются на новые, при наличии заболеваний десен назначается терапия. Стоимость имплантов зубов и дополнительных процедур оплачиваются отдельно.
Если явно выражен дефицит кости, выполняется наращивание. Оно позволяет прочно зафиксировать импланты зубов – стоимость операции определяется методикой костной пластики и применяемым материалом: он бывает синтетическим и натуральным (в этом случае кость берется у самого пациента из подбородка или в области зубов мудрости).
Процедура имплантации длится от 30 минут до нескольких часов. В зависимости от технологии на десне делается прокол или разрез. После внедрения конструкции на нее ставится заглушка и, если был разрез, рана ушивается.
Необходимо несколько месяцев, чтобы стоматологические импланты прижились. Только после этого можно установить абатмент и протез.
В некоторых случаях применяется одноэтапная имплантация, когда после внедрения конструкции на нее сразу крепится временная коронка. Этот способ дает возможность поставить импланты недорого, но подходит только пациентам с хорошим состоянием челюстной кости.

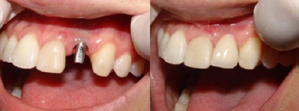
Импланты зубов: фото до и после

Сколько стоят импланты

Сколько стоит имплант зуба, можно посмотреть в прайс-листе. Но надо учитывать, что полная сумма восстановления зуба складывается сразу из нескольких составляющих: работы специалиста, цены на саму конструкцию и на протез, сопутствующих мероприятий. Выбор всегда индивидуален: он продиктован конкретной клинической ситуацией и, конечно же, возможностями пациента купить зубные импланты того или иного производителя.
Если остались вопросы, вас ждет наша стоматология – импланты, цены и другая полезная информация на приеме у специалиста. Запишитесь на сайте или по телефону.