Один из признаков кариеса эмали – появление на зубах светлых и темных пятен. Это начальная стадия поражения, когда боли еще нет, но улыбка уже испорчена. Самое время поспешить к стоматологу, пока есть возможность провести лечение без сверления и пломбировки. Если этот момент упустить, образуется полость, и зуб начнет реагировать на раздражители. В таком случае кариес эмали придется лечить при помощи бормашины.
Виды кариеса эмали
Выделяют две разновидности кариеса эмали:
- Стадия пятна. Самый ранний симптом повреждения эмали – матовые белые пятна, которые могут локализоваться в пришеечной области, на жевательных или контактных поверхностях. Со временем пятна из гладких превращаются в шероховатые, а их цвет становится темнее. Но целостность наддесневой части зуба не нарушена, так как полости пока нет.
- Поверхностный кариес эмали. На этой стадии в эмали формируется полость глубиной не более трех миллиметров. С ее образованием появляются неприятные ощущения при контакте с холодным, горячим, кислым, сладким и при надавливании на зуб. Часто дискомфорт становится болезненным.
Лечение кариеса эмали
Стадия пятна – обратимая форма кариеса эмали. Лечение сводится к восстановлению структуры эмали при помощи реминерализующей терапии. Лучшие результаты дает глубокое фторирование. Для максимального эффекта необходим курс процедур, каждая из которых включает несколько манипуляций:
- профессиональную гигиену полости рта;
- высушивание поверхности зубов воздушным потоком;
- нанесение на зубы раствора высокодисперсного фтористого кальция или магния, который герметизирует эмаль;
- повторное высушивание зубов;
- нанесение второго средства – гидроокиси меди-кальция.
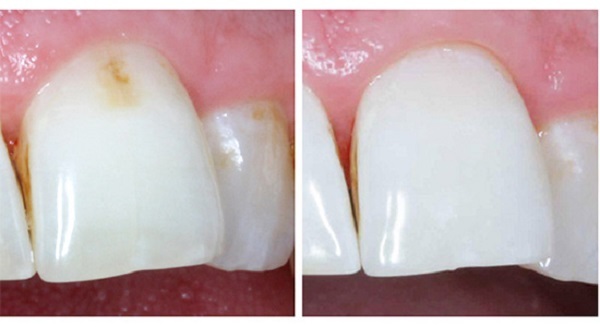
Кариес эмали: фото до и после
Между двумя препаратами проходит химическая реакция, и в результате образуются микрокристаллы фтористого кальция. Проникая в глубокие слои эмали, они заполняют все микроскопические полости и трещинки. Этот способ не только останавливает разрушение зуба, но и является отличной профилактикой кариеса эмали.
При более глубоких разрушениях кариес эмали устраняется путем препарирования зуба и удаления размягченных тканей. Затем полость пломбируется фотополимерными материалами, которые подбираются под цвет зубов.
Если вы заподозрили у себя кариес эмали, не откладывая, обратитесь в стоматологию. Клиника «Дока-Дент» работает 24 часа в сутки, поэтому вы можете выбрать для посещения любое удобное время.
Запись на прием круглосуточно – на сайте. Также можно позвонить нам или заказать обратный звонок.
При более глубоких разрушениях кариес эмали устраняется путем препарирования зуба и удаления размягченных тканей. Затем полость пломбируется фотополимерными материалами, которые подбираются под цвет зубов.
Если вы заподозрили у себя кариес эмали, не откладывая, обратитесь в стоматологию. Клиника «Дока-Дент» работает 24 часа в сутки, поэтому вы можете выбрать для посещения любое удобное время.
Запись на прием круглосуточно – на сайте. Также можно позвонить нам или заказать обратный звонок.