Импланты зубов

Установка имплантов

Отсутствие даже одного зуба доставляет неудобства: оставшиеся зубы принимают на себя нагрузку, смещаются на освободившееся место и разрушаются раньше времени – избежать подобной проблемы поможет установка имплантов. На сегодняшний день это самый эффективный способ восстановления зубов.

Показания к установке имплантов

Установка имплантов зубных рекомендуется в следующих случаях:
  • отсутствие в ряду одного-трех зубов;
  • утрата последних моляров;
  • адентия (полное отсутствие зубов);
  • непереносимость съемных протезов из-за рвотного рефлекса;
  • гиперчувствительности к элементам съемной ортопедической конструкции.

В каких случаях нельзя установить имплант

Врач категорически откажется поставить имплант, если у пациента:
  • онкологическое заболевание;
  • нарушения свертываемости крови;
  • некомпенсированный сахарный диабет;
  • повышенный тонус жевательных мышц;
  • туберкулез;
  • патология центральной нервной системы;
  • тяжелое заболевание внутренних органов;
  • психическое расстройство;
  • наркотическая или алкогольная зависимость;
  • тяжелая форма остеопороза;
  • иммунодефицит;
  • системная патология соединительной ткани;
  • хронический афтозный стоматит и т.п.;
  • алллергия на анестетики.
  • Кроме того, существуют относительные противопоказания к установке имплантов:
  • период беременности и грудного вскармливания;
  • выкуривание за сутки более пачки сигарет;
  • компенсированный сахарный диабет;
  • бруксизм (скрежетание зубами);
  • некачественная гигиена полости рта;
  • неправильный прикус;
  • кариес;
  • заболевания височно-нижнечелюстного сустава.
Также поставить импланты не могут пациенты в возрасте до 18 лет.

Преимущества установки имплантов

Можно привести много аргументов в пользу того, чтобы установить зубной имплант. Самое главное – физиологичность конструкции. Искусственный зуб полностью имитирует настоящий (от коронки до корня), поэтому во рту нет ощущения присутствия инородного тела. При жевании обеспечивается правильная нагрузка на костную ткань. Это предупреждает ее атрофию, которая неизбежна при других способах протезирования.
Установка имплантов не требует обтачивания соседних зубов. Коронки прочно фиксируются на абатменте и отлично выдерживают жевательные нагрузки. Со временем, если нужно, их можно заменить.
За имплантами несложно ухаживать: достаточно чистить зубы, как обычно, два раза в день и периодически посещать стоматолога для профессиональной гигиены полости рта.
И, наконец, это самый долговечный способ протезирования. Импланты служат в несколько раз дольше обычных протезов, а изделия премиум-класса имеют пожизненную гарантию. Сколько стоит вставить имплант лучших мировых производителей, можно посмотреть в прайс-листе.

Недостатки установки имплантов

К минусам методики можно отнести большое количество противопоказаний. Нельзя не учесть и вероятность осложнений. Даже если поставить имплант с четким соблюдением технологии, есть риск нежелательных реакций организма.
Если сравнивать имплантацию с другими видами протезирования, то она более травматична из-за хирургического вмешательства. Кроме того, процесс восстановления зубов весьма длителен: мало просто установить имплант, чтобы сразу начать пользоваться зубом. Требуется несколько месяцев для приживления, и только потом на нем можно укрепить коронку.
Также недостатком является высокая стоимость установки импланта зуба. Расходы на данный вид протезирования значительно превышают затраты изготовление съемных или несъемных ортопедических конструкций. Поэтому для многих людей решающий критерий в вопросе нужно ли поставить имплант – цена.

Как происходит установка имплантов

Если пациент все-таки решил поставить импланты – цена, квалификация специалиста и другие нюансы его устраивают, начинается серьезная подготовка. На этом этапе врач собирает полный анамнез и выявляет противопоказания к хирургическому вмешательству, а пациенту нужно сдать ряд анализов (на сахар, гепатит, ВИЧ и др.) и сделать рентгеновский снимок.
Затем необходимо провести санацию полости рта, потому что если вставить имплант, игнорируя этот этап, очаги инфекции могут спровоцировать осложнения. Кариозные зубы лечатся, старые коронки меняются на новые, а для обнаружения скрытых патологий делаются панорамный снимок и компьютерная томография.
Если у пациента наблюдается дефицит костной ткани, выполняется ее наращивание. Эта операция оплачивается отдельно – о том, сколько стоит поставить имплант с предварительной костной пластикой, можно узнать у врача.
После устранения всех стоматологических проблем можно переходить непосредственно к имплантации. В зависимости от вида конструкции в десне делается разрез или прокол – в образовавшееся углубление внедряют металлический штифт и ввинчивают в него защитную заглушку. Затем, если был разрез, десна зашивается. Чтобы вставить зубной имплант, требуется от получаса до нескольких часов – на длительность влияют его разновидность и способ установки.
После полного приживления можно переходить к следующему этапу – фиксации абатмента. Это приспособление ставится вместо заглушки и связывает штифт с зубным протезом. При одномоментной процедуре применяются монолитные изделия, в которых уже есть абатмент. Это более дешевая установка имплантов – цена таких конструкций ниже. Но обязательное условие для проведения одноэтапной операции – хорошее состояние собственной костной ткани.
Завершающий этап имплантации – изготовление протеза. По индивидуальному слепку в зуботехнической лаборатории создают одиночную коронку или мостовидную конструкцию. Цвет искусственных зубов подбирается по специальной шкале в тон натуральным.

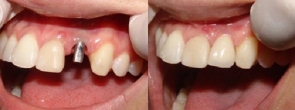
Установка имплантов: фото до и после

Установка имплантов - цена

Сколько стоит поставить зубной имплант, зависит от его цены и других факторов:
  • количества восстанавливаемых зубов;
  • необходимости костно-пластических манипуляций;
  • сложности процедуры;
  • применяемой технологии;
  • необходимости предварительной подготовки ротовой полости (санация, гигиена и т.д.).