При адентии, или отсутствии сразу всех зубов, не только невозможен полноценный прием пищи, но также ухудшается дикция и нарушаются пропорции лица; повысить качество жизни призваны полные зубные протезы.
Эти ортопедические конструкции могут иметь опору на десны либо на несколько вживленных в челюстную кость имплантов. Оптимальный вариант выбирается в зависимости от состояния тканей ротовой полости, здоровья пациента и его финансовых возможностей.
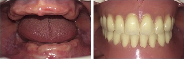
Полные зубные протезы: фото до и после
Виды полных зубных протезов: достоинства
Полные зубные протезы бывают съемными и несъемными. К первым относятся пластиночные изделия из жестких и мягких материалов, а также протезы на имплантах:
- Акриловые конструкции. Это самый недорогой и самый распространенный вариант протезирования, который может применяться у пациентов разных возрастов. Свойства материала позволяют подобрать оттенок базиса и искусственных зубов в точном соответствии с цветом слизистой полости рта пациента и природной зубной эмали. Акриловые протезы при полном отсутствии зубов незаметны для окружающих, они легко снимаются и надеваются, а в случае поломки хорошо поддаются ремонту.
- Нейлоновые ортопедические изделия. Нейлон мягче и эластичнее акрила, поэтому такие протезы более комфортны в использовании. Материал полупрозрачен, что дает дополнительные преимущества с точки зрения эстетики. Нейлоновые полные зубные протезы являются нетоксичными и не вызывают аллергических реакций.
- Полиуретановые конструкции. По гибкости и упругости превосходят протезы из нейлона. Материал устойчив к высоким нагрузкам и хорошо переносит перепады температуры. Одно из важнейших преимуществ – неспособность впитывать влагу, что исключает размножение бактерий и появление неприятного запаха. Кроме того, полиуретановые протезы при полном отсутствии зубов не противопоказаны аллергикам.
- Съемные конструкции на имплантах. Для их установки в кость вживляются от двух до четырех металлических штифтов, на которые затем фиксируется протез с помощью замкового или балочного крепления. Такие полные зубные протезы надежно удерживаются во рту и равномерно распределяют жевательную нагрузку по всей челюсти, что позволяет предупредить атрофию костной ткани.
На имплантах можно установить и несъемные протезы при полном отсутствии зубов. Являясь идеальной заменой натурального зуба, искусственный корень часто превосходит его по устойчивости, благодаря чему протез прочно фиксируется в полости рта. Используемые в качестве опор импланты способны выдержать нагрузку, которая почти в полтора раза превышает допустимую нагрузку на живые зубы. Установка в кость от четырех до шести имплантов дает возможность поставить полный зубной протез без десневой маски (т.е. части, имитирующей десну), что актуально для пациентов, у которых аллергия на акрилаты.
Как ухаживать за зубными протезами
Правильный уход за протезами при полном отсутствии зубов является важной составляющей их длительной и беспроблемной эксплуатации. Чтобы искусственные зубы служили как можно дольше, их нужно очищать после еды, а также утром и вечером.
Съемные ортопедические конструкции чистят щеткой с пастой. Как минимум раз в неделю полный зубной протез необходимо помещать в специальный дезинфицирующий раствор. Это уничтожит микробы и позволит предотвратить появление изо рта неприятного запаха и развитие воспаления десен.
В тщательном уходе нуждаются и несъемные протезы при полном отсутствии зубов. Для их очистки следует применять щетки, пасты, зубные нити и ополаскиватели.