Хирургическая стоматология

Гнойный периостит

Обширный болезненный отек ткани десны в области больного зуба — очевидный симптом, которым дает о себе знать гнойный периостит. Так называется инфекционное воспаление надкостницы тела челюсти (периоста) или альвеолярных отростков (костных лунок, в которых располагаются зубы). В бытовом общении заболевание обычно именуют флюсом.
Практика показывает, что диагноз гнойный периостит челюсти чаще всего имеет отношение к нижнему зубному ряду. В зону наибольшего риска попадают многокорневые зубы, премоляры и зубы мудрости. Поражение надкостницы под клыками и резцами — единичные факты.
Развитие заболевания в области верхней челюсти, как правило, является следствием распространения инфекции, источником которой становятся зубы — «четверки», «пятерки», «шестерки», «семерки» (премоляры и моляры).

Причины гнойного периостита челюсти

Возглавляют список патогенных факторов одонтогенные инфекции — следствие заболеваний зубов. Часто гнойный периостит челюсти развивается на фоне пульпита, периодонтита, нагноения радикулярной кисты.
Главной причиной заболевания могут также выступать неодонтогенные воспалительные процессы, спровоцированные:
  • травмированием челюсти с разрывом мягкой ткани и прямым инфицированием ран;
  • болезнетворными бактериями, проникающими с лимфо- и кровотоком при системном и инфекционном заболевании;
  • серьезные недуги (туберкулез, онкология, сахарный диабет).
Непосредственно вызывает гнойный периостит челюсти смешанная микрофлора, в которую могут входить гнилостные бактерии, стрептококки и стафилококки, грамположительные и грамотрицательные палочки.
Факторами для стремительного развития воспалительного процесса могут стать:
  • прорезывание зубов;
  • бактериальная инфекция пародонта;
  • сложная операция по удалению зуба;
  • обострение хронического или системного заболевания;
  • переохлаждение;
  • ослабление иммунитета;
  • переутомление и стресс.
К сожалению, гнойный периостит знаком представителям разного возраста.

Симптомы

Гнойному воспалению всегда предшествует серозный периостит челюсти. Если не обратить внимание на боль, гиперемию и отек ткани десны, через 1-2 дня в надкостнице под больным зубом возникает гнойный очаг. Как правило, он стремительно увеличивается, распространяясь на соседние зубы и мягкие ткани. В процесс вовлекаются кровеносная и лимфатическая системы.
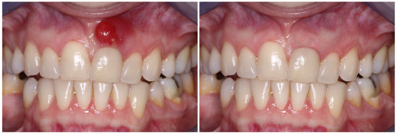
Острый гнойный периостит челюсти обязательно сопряжен с острой пульсирующей болью и увеличивающимся отеком. Характер видимых болезненных изменений зависит от локализации заболеваний зубов. Если очаг инфекции находится в передней части челюсти, наблюдается сильный отек губ, середины лица. Нагноение надкостницы в области жевательных зубов изменяет форму щек, скулы, век, околоушной зоны. Возможен также небный абсцесс, который почти не отражается на внешнем виде лица.
Клиническую картину заболевания дополняют другие характерные симптомы:
  • Нарастающая боль. Может распространяться от челюсти по ходу тройничного нерва, отдаваться в висок, ухо, область глаз.
  • Увеличение лимфоузлов на шее.
  • Повышение температуры тела до 38-39°.
  • Если гнойный периостит челюсти располагается близко к основанию языка, наблюдаются трудности при глотании и разговоре, переход инфекции на миндалины.
  • Общая слабость.
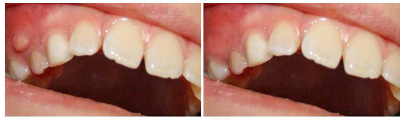
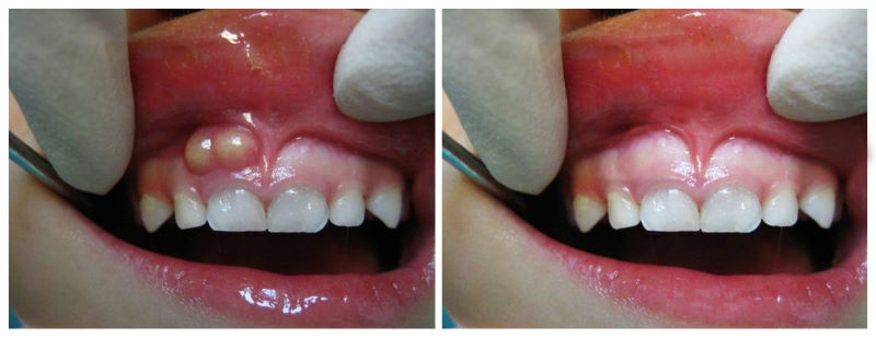
  • При прогрессировании воспаления надкостницы содержимое гнойника слегка просвечивается сквозь ткань десны, придавая ей желтоватый оттенок.
  • Запах изо рта.
Ни один из домашних методов не остановит гнойный периостит. Но через семь дней симптомы заболевания могут стать менее болезненными. Это означает, что гнойный экссудат нашел выход, образовав свищ в тканях десны.

Лечение гнойного периостита челюсти

Самый эффективный способ избежать гнойного периостита — правильный уход за зубами. Необходимо сразу же обращаться к специалистам при первых признаках любого стоматологического заболевания. В частности, если диагностируется гнойный периостит челюсти на ранних этапах, не исключена возможность сохранения зуба над очагом гнойной инфекции.
В программу лечения могут входить различные оперативные и консервативные методы:
  • Вскрытие полости больного зуба для самостоятельного выхода экссудата (на этапе серозного периостита челюсти).
  • Удаление зуба-источника инфекции, если он не подлежит восстановлению.
  • Периостотомия — аккуратное рассечение надкостницы в точке нагноения.
  • Лечение возникших в результате периостита заболеваний зубов и ткани десны.
  • Комплексная лекарственная терапия.
  • Физиотерапевтические процедуры с учетом заболеваний, которые может спровоцировать гнойный периостит (ванночки, лазерная терапия, светолечение, флюктуоризация и другие).

Гнойный периостит: фото до и после

Облегчение наступает с первых манипуляций врача, так как борьба с инфекцией ведется под деликатной анестезией (проводниковой или инфильтрационной). Если не запустить гнойный периостит и лечить его с момента первых проявлений, через три — пять дней от болезни не останется следа.