Пародонтология

Язвенный гингивит

Один из наиболее грозных видов воспаления десен - язвенный гингивит. Заболевание редко возникает внезапно: как правило, ему предшествует катаральный гингивит, который не был вылечен вовремя и перешел в более сложную форму.
При данной разновидности воспаления на деснах видны язвенные, эрозивные, и некротические участки. Они образуются и на поверхности, и в более глубоких слоях слизистой.
По степени тяжести язвенно-некротический гингивит бывает легким, средним, тяжелым.

Симптомы язвенного гингивита

Из местных проявлений язвенного гингивита можно отметить:
  • формирование язв по десневому краю или на межзубных сосочках;
  • образование на слизистых оболочках зеленовато-серого налета;
  • неприятный запах изо рта;
  • повышенную вязкость слюны;
  • кровоточивость при попытке освободить десны от налета;
  • боли во время приема пищи, чистке зубов и разговоре.
Из симптомов общего характера для язвенно-некротического гингивита свойственны:
  • увеличение температуры (39 градусов и выше);
  • признаки интоксикации (головная боль, слабость, отсутствие аппетита);
  • общее недомогание;
  • увеличение и болезненность подчелюстных и шейных лимфоузлов;
  • истощение организма из-за трудностей с приемом пищи;
  • нарушения в работе желудочно-кишечного тракта;
  • бессонница.

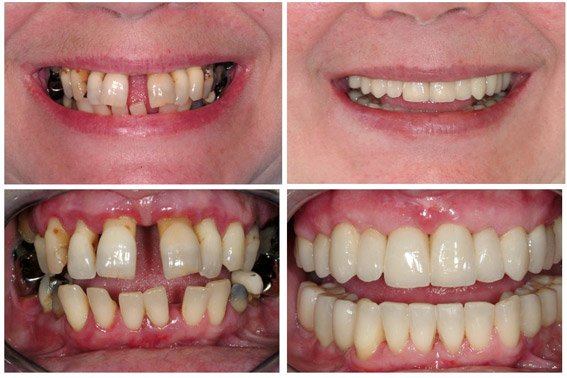
Язвенный гингивит: фото до и после

Лечение язвенного гингивита

При язвенном гингивите к лечению нужно приступить срочно, чтобы не упустить время, так как полностью избавиться от болезни можно лишь на начальной стадии. В эффективности своевременного вмешательства можно убедиться, если посмотреть на фото «до и после» и почитать отзывы пациентов.
Терапия обычно предусматривает следующие меры:
  • обезболивание дефектов язвенного гингивита на слизистой;
  • удаление некротизированных тканей десны;
  • профессиональная гигиена полости рта;
  • обработка острых краев зубов для предотвращения травматизации слизистой;
  • применение местных антимикробных препаратов;
  • удаление налета при помощи протеолитических ферментов;
  • аппликации препаратов-кератопластиков.
Из-за сильной болезненности манипуляции, которые включает лечение язвенно-некротического гингивита, проводятся под анестезией.
Кроме медицинских мероприятий в стоматологии терапия предполагает прием внутрь антибактериальных и антиаллергических препаратов, витаминов, а также обязательное соблюдение диеты (исключение агрессивной пищи).
Более подробную информацию о лечении язвенно-некротического гингивита можно получить на консультации у врача. Записывайтесь в клинику «Дока-Дент» в Москве на сайте или у администратора ближайшего к вам филиала.