Лечение кариеса

Прикорневой кариес

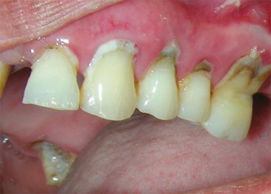
Одной из самых распространенных стоматологических болезней является прикорневой кариес, который поражает зубные ткани у корня, на границе зуба с десной, и даже может выходить за пределы коронковой части. Разрушительный процесс в этой зоне обычно развивается весьма стремительно, поскольку эмаль здесь имеет минимальную толщину: воспаление быстро проникает в глубинные слои зуба, затрагивая корневые каналы.
Как правило, прикорневой кариес встречается среди пациентов старше 30 лет, а в 60 именно это заболевание становится основной причиной потери зубов, ведь с возрастом эмаль истончается, становясь все более уязвимой. Возникновению очага инфекции способствует и сложность проведения гигиенических процедур в данной области, из-за чего около корня зуба появляется зубной камень, который благоприятствует размножению бактерий.
Среди других факторов, вызывающих прикорневой кариес, можно выделить:
  • злоупотребление сладостями;
  • сбои в функционировании эндокринной системы;
  • нарушения обмена веществ в организме;
  • низкое качество питьевой воды.

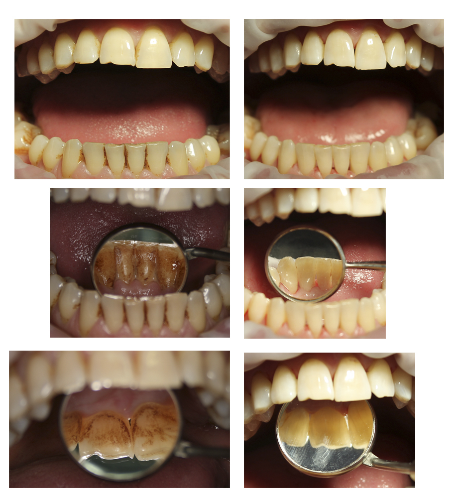
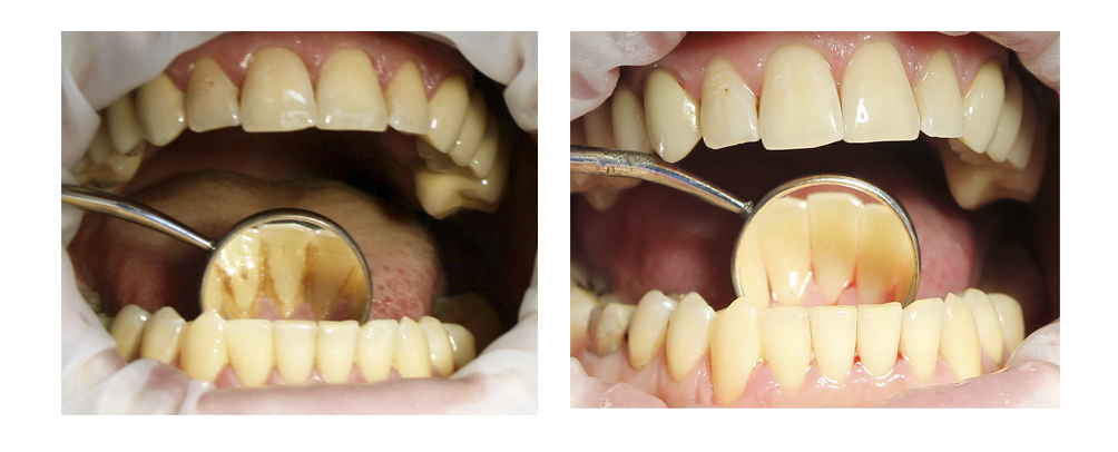
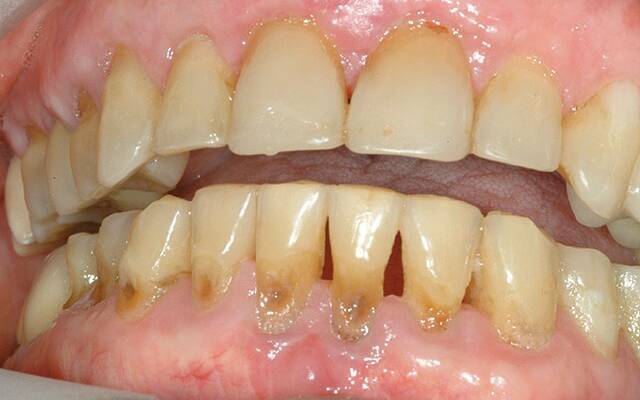
Прикорневой кариес: фото до и после

Симптомы прикорневого кариеса

На необходимость посещения стоматологического кабинета для лечения прикорневого кариеса указывают различные симптомы. В зависимости от стадии болезни это могут быть:
  • потемнение эмали;
  • возникновение меловидного пятна с четкими границами;
  • дискомфорт при употреблении пищи;
  • повышенная чувствительность к механическим и температурным воздействиям;
  • неприятный запах изо рта;
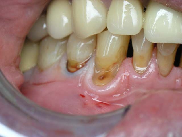
  • образование полости на границе с десной.
Для глубокого прикорневого кариеса характеры резкие или ноющие боли при чистке зубов, перепадах температур, приеме кислой либо сладкой пищи. Однако если пораженным оказывается депульпированный зуб, болевых ощущений не будет. В таких случаях при отсутствии своевременного лечения прикорневого кариеса разрушительный процесс может привести к отлому коронковой части зуба.

Лечение прикорневого кариеса

В целом, при лечении прикорневого кариеса используются те же схемы, что и при кариозных поражениях любой другой локализации. Так, если заболевание обнаружено на начальном этапе (в стадии пятна), и дентин еще не затронут, проводится реминерализация с применением препаратов, содержащих кальций, магний, фосфор, цинк и другие элементы. Как правило, этой меры оказывается достаточно, чтобы избавить пациента от проблемы.
Лечение прикорневого кариеса средней степени сводится к ликвидации пораженных тканей и восстановлении анатомической формы зуба при помощи пломбировочных материалов. В сложных случаях врач удаляет пульпу, чистит и высушивает корневой канал, после чего пломбирует зуб.
Лечение прикорневого кариеса требует от стоматолога большого профессионализма, поскольку проблемная зона обладает повышенной чувствительностью и располагается в непосредственной близости с десной. Другая сложность заключается в том, что в прикорневой области пломбы плохо держатся, поэтому необходимо подобрать материал, отличающийся высокой адгезией.

Профилактика прикорневого кариеса

Чтобы предотвратить появление прикорневого кариеса, необходимы следующие меры:
  • систематические профилактические осмотры (раз в полгода);
  • правильное питание ― не злоупотреблять вязкой и липкой пищей с большим количеством рафинированных углеводов, не перекусывать между основными приемами пищи;
  • грамотный регулярный уход за зубами ― использовать пасты с высоким содержанием фтора и кальция, полоскать рот антисептическими растворами.
Соблюдая эти правила, вы сможете избежать проблем с зубами и необходимости лечения прикорневого кариеса.