Лечение кариеса

Межзубный кариес

Как следует из названия, межзубный кариес развивается на контактных поверхностях зубов. Подобно прочим разновидностям кариозного поражения, заболевание вызывается микробами. Боковые поверхности зубов - самая трудно очищаемая и при этом легкоуязвимая часть, ведь здесь наиболее тонкий слой эмали. Если не пользоваться зубной нитью, есть большой риск возникновения контактного кариеса, ведь пищевые остатки ― отличная питательная среда для бактерий, которые выделяют вредные для зубов кислоты.
На начальной стадии заболевание трудно диагностировать, и зачастую оно обнаруживается, когда эмаль и дентин уже повреждены. Проще всего заметить кариес между передними зубами, а вот на боковых поверхностях жевательных зубов он протекает скрыто.

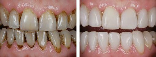
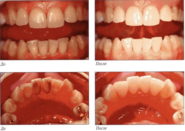
Межзубный кариес: фото до и после

Симптомы контактного кариеса

Заболевание развивается постепенно ― точно так же как другие виды кариеса. Сначала на контактных поверхностях соседних зубов появляются пятна желтого или сероватого оттенка. При отсутствии лечения на месте пятен образуются небольшие полости, затрагивающие лишь толщину эмали. Переходя на следующую стадию, заболевание поражает дентин. А самая сложная форма межзубного кариеса – глубокая, когда инфекция достигает корневых каналов.
Если дефекта коронки еще не видно, на наличие кариеса могут указывать следующие симптомы:
  • повышение чувствительности зубов: они начинают резко реагировать на горячее, холодное, сладкое, соленое и кислое, причем болевые ощущения во время еды довольно быстро проходят;
  • неприятный запах и вкус во рту: при контактном кариесе они исходят из определенного места, где скапливаются и разлагаются остатки пищи;
  • изменение цвета зуба в области боковых поверхностей: направляя на зуб свет, можно заметить, что он окрашен неравномерно, и под эмалью просматриваются более темные участки.

Лечение межзубного кариеса

Как и в случаях с другой локализацией заболевания, кариес между зубами лечится под местной анестезией. Но есть и определенные особенности, так как чаще всего проводится лечение сразу двух пострадавших зубов.
Последовательность действий стоматолога стандартна:
  • удаляются пораженные ткани;
  • выполняется антисептическая обработка образовавшихся полостей;
  • на каждый зуб устанавливается отдельная пломба.
Трудность лечения межзубного кариеса состоит в том, что для доступа к поврежденным тканям боковых поверхностей зубов стоматологу приходится высверливать часть здоровых тканей, находящихся над кариозным дефектом. Это ведет к тому, что помимо устранения очага инфекции и пломбирования зуба при лечении кариеса между зубами врач должен выполнить две сложные вещи:
  1. Восстановить анатомические особенности жевательной поверхности ― воспроизвести все бугорки и фиссуры, обеспечив правильный контакт с зубами-антагонистами.
  2. Грамотно сформировать контактные пункты рядом стоящих зубов. Контакт между зубами должен быть достаточно плотным, чтобы межзубный кариес не развился повторно. С этой целью врач использует матрицы ― специальные стоматологические приспособления, позволяющие воссоздать боковые поверхности коронковой части зубов и обеспечить хорошее прилегание пломбировочного материала к придесневой стенке кариозной полости.

Профилактика

Предотвратить возникновение межзубного кариеса можно, и помогут в этом нехитрые профилактические меры:
  • Тщательная гигиена полости рта. Нужно регулярно, после каждого приема пищи, пользоваться зубной нитью (флоссом) для очищения промежутков между зубами. Также после еды необходимо пользоваться зубной щеткой, а утром и вечером чистить зубы с пастой.
  • Отказ от перекусов. Одна из причин развития кариеса между зубами ― потребление сладкого и мучного между основными приемами пищи.
  • Периодические посещения стоматолога для снятия зубного налета и камня. В зависимости от качества ежедневной гигиены ротовой полости проводить профессиональные процедуры необходимо один или два раза в год. При этом эмаль не только очищается, но и обрабатывается препаратами с высоким содержанием кальция и фтора, что также способствует защите от кариеса между зубами.