Хирургическая стоматология

Альвеолотомия

Стоматологическая практика показывает, что удаление экзостозов является весьма распространенной операцией. Речь идет о сглаживании челюстных костей, позволяющем устранить патологическое новообразование. В процессе развития экзостозы костные могут принимать форму выступов. Их иссечение осуществляется посредством альвеолотомии, то есть вскрытия стенки альвеолы. В целом ряде случаев операцию по удалению экзостоза возможно избежать. Однако при возникновении необходимости в хирургическом вмешательстве ее следует производить как можно быстрее.

Удаление экзостозов

Как доброкачественный, так и злокачественный экзостоз состоит из компактной губчатой ткани, покрытой гиалиновым хрящом. Причины его образования могут быть различными:
  • последствия травм (ушибы, трещины, переломы);
  • результат неудачного хирургического вмешательства;
  • врожденные скелетные патологии; хронические заболевания;
  • инфекционные болезни; иные физиологические факторы (например, асептический некроз или хондроматоз костей).
Чаще всего лечение и удаление экзостозов методом альвеолотомии требуется детям и подросткам. При этом следует отметить, что в большинстве случаев наросты не вызывают дискомфорта. Как правило, болезненные ощущения возникают лишь при физических усилиях и резких движениях. Разумеется, за скобки выносятся злокачественные образования. Их развитие требует максимально быстрого удаления экзостозов. Обычно наросты диагностируются с помощью рентгенологического исследования. Хотя зачастую их можно самостоятельно прощупать пальцами.
Удаление экзостоза в стоматологии происходит следующим образом:
  • анестезия (за редкими исключениями, такими как наличие злокачественной опухоли, операция проводится под местным наркозом);
  • надрез десны для получения доступа к новообразованию;
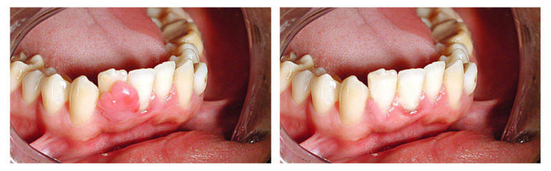
  • устранение экзостоза с помощью бормашины или лазерного оборудования;
  • шлифовка кости, на которой располагался нарост; наложение швов.

Осложнения и лечение экзостозов

В качестве основных показаний к проведению альвеолотомии выступают:
  • резкое увеличение размеров и/или изменение формы нароста;
  • возникновение болезненных ощущений;
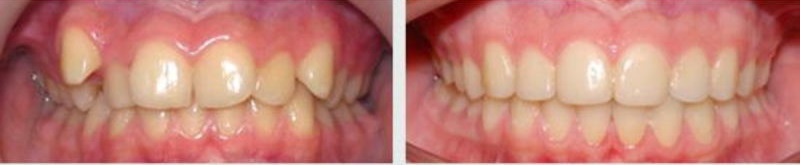
  • косметический дефект (например, нарушение прикуса).
Кроме того, удаление экзостозов зачастую является методом подготовки к протезированию зубов, поскольку развитие и увеличение наростов может стать помехой для крепления ортопедических конструкций.
Противопоказаниями для проведения операции служат различные соматические заболевания. Например, патологии в работе эндокринной системы, такие как сахарный диабет или низкая свертываемость крови.
Процесс лечения может сопровождаться разнообразными осложнениями. В первую очередь следует отметить возникновение отеков и дискомфортных ощущений в ротовой полости. Чаще всего это касается экзостозов после удаления зуба. Однако при работе квалифицированных хирургов и отсутствии у пациента проблем с иммунной системой, такие явления довольно редки. Исключение составляет иссечение злокачественных экзостозов. Подобные операции подразумевают длительную реабилитацию.

Альвеолотомия: фото до и после

Послеоперационный период

Удаление экзостозов считается малоинвазивным хирургическим вмешательством. Соответственно, послеоперационный период не требует введения строгих запретов и ограничений. Однако, все же, следует придерживаться определенных правил. В частности, необходимо ограничить физическую активность.
Наряду с этим пациентам, прошедшим курс лечения экзостозов, стоит воздержаться от курения и употребления алкогольных напитков. Никотиновая кислота, спирт, а также резкое температурное воздействие (чрезмерно горячие или холодные продукты питания) тормозят восстановительный процесс.