Пародонтология

Гипертрофический гингивит

Среди прочих форм воспаления десен гипертрофический гингивит является достаточно редким заболеванием. Его суть заключается в разрастании слизистой оболочки десны. В некоторых случаях оно настолько сильно выражено, что затрудняется нормальное пережевывание пищи. А поскольку повреждение эпителия вызывает еще более бурный рост клеток, при гипертрофическом гингивите без лечения в клинике не обойтись. В противном случае возможно присоединение вторичной инфекции, которая вызовет еще большие осложнения.

Виды и симптомы гипертрофического гингивита

В стоматологии выделяют две формы гипертрофического гингивита:
  1. Отечную. В этом случае межзубные сосочки отекают, краснеют и приобретают синюшный оттенок. Образуются ложные зубодесневые кармашки, десны кровоточат, а поверхность слизистой оболочки имеет глянцевый блеск. Пациенты жалуются на болезненные ощущения во время гигиенических процедур и неэстетичный вид десен.
  2. Фиброзную. Для этой формы гипертрофического гингивита свойственен не отек, а разрастание десневых тканей. Кровоточивость отсутствует, слизистая оболочка не меняет своего цвета, но также образуются ложные пародонтальные карманы, а межзубные сосочки становятся плотными на ощупь. Над десной и под ней обнаруживаются обильные зубные отложения.
Степень тяжести заболевания определяется величиной разрастания тканей десен. О легкой форме хронического гипертрофического гингивита говорят, когда край десны закрывает коронку максимум на 1/3 высоты, при средней степени тяжести коронка покрыта почти наполовину, а в тяжелой форме – на 2/3.
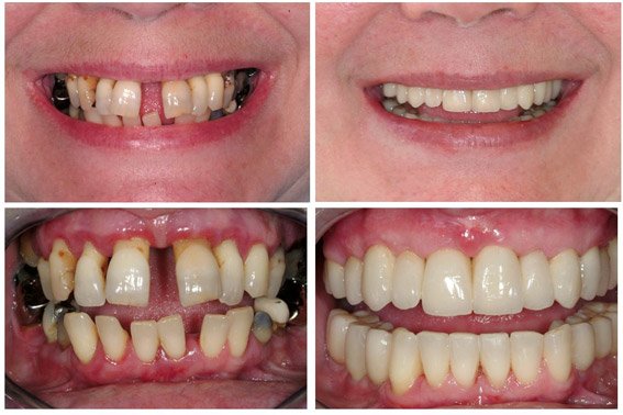
Гипертрофический гингивит: фото до и после

Гипертрофический гингивит: фото до и после

Лечение гипертрофического гингивита

Как и некротический гингивит, процесс гипертрофии десневых тканей, в основном, развивается сразу на обеих челюстях, поэтому требует комплексного лечения.
При отечной форме специалисты клиники «Дока-Дент» делают упор на уменьшение в деснах воспалительных и экссудативных процессов. С этой целью применяются противовоспалительные, антибактериальные и прочие средства для подавления болезнетворной микрофлоры, а также препараты для предупреждения дальнейшего разрыхления слизистой десен.
При фиброзном гипертрофическом гингивите лечение заключается в воздействии на агрессивно разрастающиеся ткани. В нашей стоматологии применяются разные методы, позволяющие решить эту проблему.
Независимо от формы заболевания терапия включает санацию полости рта и применение мер по ликвидации хронически травмирующих факторов.
Кроме гипертрофического, в клинике «Дока-Дент» в Москве проводится лечение катарального и некротического гингивита. Записаться на прием можно через сайт или у администратора.