Зубные протезы и виды зубных протезов

Съемные зубные протезы

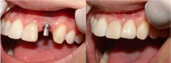
Даже при потере одного зуба страдает вся зубочелюстная система, и чтобы избежать негативных последствий, желательно как можно быстрее провести протезирование — при небольших дефектах применяются коронки и мостовидные конструкции, а если отсутствует более трех зубов, устанавливают съемные зубные протезы.

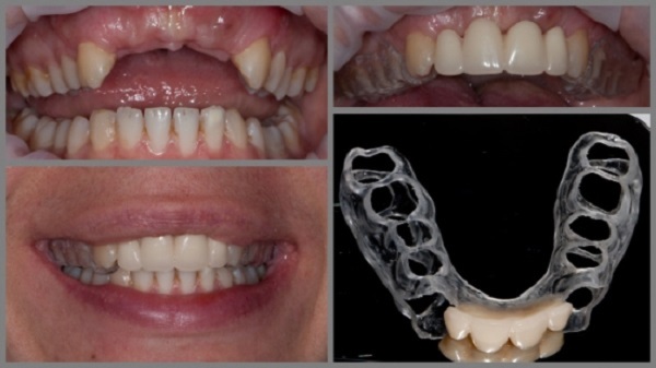
Съемные зубные протезы: фото до и после

Правильно подобранный ортопедический аппарат помогает восстановить целостность зубного ряда, жевательную функцию и предупреждает дальнейшее разрушение зубочелюстной системы.

Виды съемных зубных протезов

Съемные протезы зубов классифицируются по разным критериям. В зависимости от своего назначения они бывают:
  • единичные — замещают один зуб;
  • частичные — используются при отсутствии нескольких идущих подряд зубов;
  • полные — применяются при утрате всех зубов на челюсти.
По конструкции съемные зубные протезы могут быть:
  • Пластинчатые. Этот вид ортопедических конструкций зачастую является единственной альтернативой имплантации при полном отсутствии зубов. Изготовленные из стоматологических акриловых, виниловых пластмасс или нейлона, современные зубные протезы отличаются прекрасной износостойкостью и хорошей эстетикой. При правильной эксплуатации и качественной гигиене они длительное время не меняют своего внешнего вида.
  • Дугообразные (бюгельные). Это более сложная конструкция, включающая в себя металлический каркас в виде дуги, пластмассовый базис и искусственные зубы. Протезирование съемными протезами данного типа позволяет равномерно распределить жевательное давление между оставшимися во рту зубами и десной, благодаря чему десневые ткани атрофируются меньше, чем при использовании пластинчатых приспособлений. Прочность металла дает возможность сократить, объем, толщину и общий вес протеза – поэтому бюгельные конструкции считаются более комфортными в эксплуатации.
И дугообразные, и пластинчатые протезы могут закрепляться на зубах с помощью крючков-кламмеров или аттачменов (замков), также бывают бюгели на телескопических коронках. Оптимальный вариант подбирается индивидуально — в зависимости от клинической картины и пожеланий пациента.

Сколько стоят съемные зубные протезы

Стоимость съемных зубных протезов варьируется в зависимости от используемых для их изготовления материалов, сложности устройства ортопедического изделия и разновидности крепления. Дешевле всего обойдутся варианты пластиночного типа из акрила. Довольно высокая цена на нейлоновые протезы, поскольку материалы для них производятся только за границей. А наиболее дорогостоящие съемные протезы в стоматологии — бюгельные конструкции.
Что касается метода фиксации, то наименьшей стоимостью характеризуются стоматологические изделия с кламмерным креплением. Эстетичнее, и, соответственно, дороже протезы с микрозамковой фиксацией. А больше всего придется заплатить за протезирование зубов съемными протезами бюгельного типа на телескопических коронках.
Более конкретную информацию можно получить у врача-ортопеда после обследования.