Синус-лифтинг

Закрытый синус-лифтинг

Операция, в результате которой наращивается костная ткань на верхней челюсти (боковые участки), называется закрытый синус-лифтинг. Этот вид хирургического вмешательства применяется, если необходимо установить имплантат, а костный массив слишком тонкий и не может обеспечить нормальное приживление протеза.

Показания к закрытому синус-лифтингу

Назначают закрытый синус-лифтинг в следующих ситуациях:
  • если гайморова пазуха располагается чрезмерно близко к ротовой полости и тем самым сокращает объем кости. Тогда операция закрытый синус-лифтинг позволяет компенсировать этот недостаток, не повреждая структуру гайморовой пазухи;
  • при возрастной атрофии костного массива, при уменьшении объема кости после потери/удаления боковых зубов или после продолжительного ношения протезов.
И в первом, и во втором случаях суть верхнечелюстной хирургии заключается в следующем: дно слизистой оболочки гайморовой пазухи аккуратно приподнимается, а образовавшуюся пустоту заполняет остеопластический материал. Односторонний закрытый синус-лифтинг предполагает компенсацию кости только с одной стороны, двусторонний — с двух.

Противопоказания

Как и открытый, закрытый синус-лифтинг имеет свои противопоказания. Список примерно тот же, что и при имплантации зубов, а именно:
  • сердечная недостаточность;
  • онкологические заболевания;
  • обострения хронических недугов;
  • плохая свертываемость крови;

Этапы проведения

Операция закрытый синус-лифтинг, в отличие от открытой технологии наращивания кости, является максимально щадящей и происходит без нарушения целостности мягких тканей. Пациент обычно не испытывает болезненных ощущений в процессе, поэтому процедура может проходить под местной анестезией. Ее суть: в челюстной кости высверливается небольшое отверстие, пазуха приподнимается на нужный уровень, и в полость вводится костный материал. Ткани гайморовой пазухи при этом не страдают.

Этапы операции:

  1. Подготовительный этап. В его ходе хирург должен убедиться в нормальном состоянии верхнечелюстной зоны и, если есть какие-либо незначительные нарушения, устранить их. На этом этапе обследуется слизистая, а также сама пазуха. Тщательная подготовка к операции сводит к минимуму осложнения после закрытого синус-лифтинга.
  2. В районе гайморовой пазухи через мягкие ткани просверливается отверстие, в которое будет вживляться имплантат.
  3. С помощью специального зонда пазуха немного приподнимается и освобождается пространство, которое заполняется костной тканью. Закрытый синус-лифтинг предполагает использование натурального или синтетического наполнителя. В первом случае костный материал берется у пациента, во втором применяется остеопластический материал искусственного происхождения.
  4. Одновременно с поднятием дна гайморовой пазухи при закрытом синус-лифтинге в новую костную ткань устанавливается имплантат.
Закрытый синус-лифтинг с одномоментным выполнение имплантации проводится по показаниям!
Время ожидания после установки имплантов составляет примерно 6-8 месяцев. За этот срок на введенном пациенту остеопластическом материале формируется собственная костная ткань, постепенно образующая одно целое с имплантатом. Период полного приживления находится в прямой зависимости от особенностей организма пациента, кровоснабжения прооперированного участка и количества введенного материала.

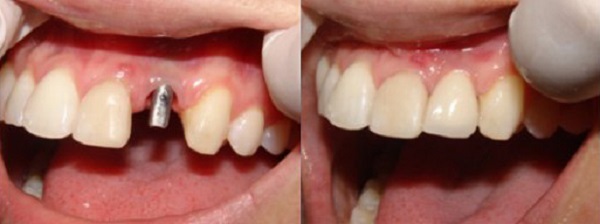
Закрытый синус-лифтинг: фото до и после

Послеоперационный период

Осложнения после закрытого синус-лифтинга случаются крайне редко, так как за 30 лет проведения подобных операций технология отработана до совершенства, а все риски для пациента сведены к минимуму. Слизистая заживает очень быстро. Но пациентам стоит иметь в виду, что не будет лишним соблюдение следующих рекомендаций:
  • нужно отказаться от ношения съемных временных протезов, создающих нагрузку на место хирургического вмешательства;
  • следует по возможности воздерживаться от кашля или чихания на протяжении четырех недель;
  • категорически не рекомендуется как минимум четыре недели (месяц) после операции закрытый синус-лифтинг посещать баню, летать самолетами, переносить тяжелые физические нагрузки;
  • в первое время для скорейшего заживления слизистой можно делать ванночки с раствором ромашки и шалфея, а также закапывать в нос специальные капли, которые пропишет врач. Если был односторонний закрытый синус-лифтинг, особое внимание нужно уделить месту, где было вмешательство. При двустороннем — всей ротовой полости.
Цены на закрытый синус-лифтинг зависят от объема подсаженного материала, сложности операции и необходимости тех или иных дополнительных работ.