Одна из самых сложных форм воспаления десен - генерализованный пародонтит. Это заболевание представляет собой тяжелое повреждение пародонта, охватывающее практически всю десенную поверхность. По внешним признакам оно напоминает пародонтоз: десны постепенно опускаются и кровоточат, прикорневые участки зубов обнажаются и покрываются налетом и камнем, из-за чего зубы расшатываются и в конце концов выпадают.
Симптомы генерализованного пародонтита
- На первой стадии генерализованного пародонтита наблюдается незначительное кровотечение, десны слегка отекают и становятся более рыхлыми, появляются неглубокие (максимум 3,5 мм) карманы. На этом этапе пациент обычно не замечает каких-либо серьезных отклонений.
- При второй стадии генерализованного пародонтита бывают приступы усиленного кровотечения, десны отекают сильнее, их цвет меняется на бледно-розовый, явно видны межзубные пространства. Пациентов беспокоит повышенная чувствительность зубов к сладкой пище и термическим раздражителям. Глубина десневых карманов достигает 5 мм, в них может образовываться гной.
- На третьей стадии без лечения генерализованный пародонтит дает о себе знать сильной болезненностью десен, приступами кровоточивости и шаткостью зубов, так как прикорневые участки оголены. Пародонтальные карманы глубиной более 5 мм заполнены гнойным содержимым. Могут ощущаться слабость и недомогание.
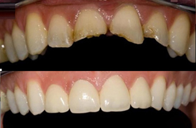
Генерализованный пародонтит: фото до и после
Лечение генерализованного пародонтита
В лечении генерализованного пародонтита важен комплексный подход. В некоторых случаях кроме пародонтолога привлекаются хирург, стоматолог общего профиля, ортопед.
Начальная стадия лечится профессиональным очищением зубов от налета, камня, иных образований и промыванием десневых карманов антисептическими растворами. В более сложных случаях при лечении генерализованного пародонтита корректируются десневые карманы, удаляется разросшийся эпителий и применяются другие меры. Подробную информацию предоставит на приеме врач клиники «Дока-Дент» (Москва). А на сайте можно увидеть отзывы пациентов и фото до и после лечения.
Начальная стадия лечится профессиональным очищением зубов от налета, камня, иных образований и промыванием десневых карманов антисептическими растворами. В более сложных случаях при лечении генерализованного пародонтита корректируются десневые карманы, удаляется разросшийся эпителий и применяются другие меры. Подробную информацию предоставит на приеме врач клиники «Дока-Дент» (Москва). А на сайте можно увидеть отзывы пациентов и фото до и после лечения.