Лечение десен

Воспаление десен

При воспалении десен лечение нужно начинать своевременно – когда обнаружились первые признаки. Гингивит и пародонтит опасны для зубов, поскольку в запущенной форме приводят к их выпадению.
Воспаление десны вокруг зуба возникает по разным причинам. Его могут спровоцировать некачественный уход за полостью рта, травмирование пломбой или протезом, злоупотребление табаком, гормональные сбои в организме.
О том, что развивается патология, сигнализируют такие симптомы, как:
  • отечность и кровоточивость десен;
  • болезненные ощущения при чистке зубов;
  • покраснение десны;
  • разрастание десневого края;
  • неприятный запах изо рта.
Если при воспалении десен лечение отсутствует, может ухудшиться общее состояние здоровья и даже подняться температура.

Лечение воспаления десен

Многие пациенты не спешат к стоматологу, если десна воспалилась – лечения народными средствами, считается, будет достаточно. На самом деле не стоит ждать серьезного эффекта от полоскания рта отварами лекарственных растений. Чтобы избежать осложнений необходима профессиональная комплексная терапия, которую могут осуществить лишь специалисты стоматологической клиники.
В первую очередь врач выполняет очистку зубов от микробного налета и камня. С этой целью в клинике «Дока-Дент» применяются ультразвук, лазер и аппарат Air Flow. В запущенных случаях воспаления десны вокруг зуба лечение не обходится без приема антибиотиков. Иногда требуется хирургическое вмешательство – кюретаж пародонтальных карманов или гингивопластика. А если проблема вызвана неправильным ростом зуба мудрости, его удаляют.

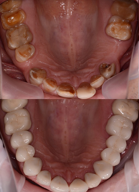
Воспаление десен: фото до и после

Воспаление десны под коронкой

Воспаление десны под коронкой может быть признаком различных заболеваний, от гингивита до периостита с сильными болями в области причинного зуба и распуханием щеки. Поэтому если вы ощущаете дискомфорт, важно срочно обратиться в стоматологию.
В большинстве случаев врач снимает коронку и выполняет ревизию корневых каналов. Для диагностики изменений на корне делается рентген. Если патологии не обнаружено, проводится локальная терапия с предварительной ликвидацией зубных отложений.
Когда причиной воспаления десны под коронкой является некачественное протезирование, ортопедическую конструкцию нужно снять и изготовить новую.
Если вас беспокоят воспаленные десна, для лечения запишитесь в клинику «Дока-Дент» в Москве. Отзывы о работе наших специалистов и фото «до и после» можно увидеть на сайте. А чтобы назначить время визита к доктору, воспользуйтесь формой на сайте или позвоните в интересующий вас филиал.