Зубные протезы и виды зубных протезов

Бюгельные телескопические протезы

Главное отличие бюгельных телекопических протезов от прочих дугообразных конструкций заключается в способе фиксации. В ее основе — принцип стыковки элементов подзорной трубы. Крепления устройства состоят из двух частей: несъемная часть коронки (патрица) цементируется на опорном зубе, а съемная (матрица) является элементом самого бюгельного телескопического протеза. При установке ортопедического изделия съемная часть надевается на несъемную, и таким образом оно прочно фиксируется в полости рта.

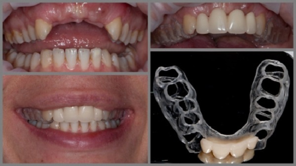
Бюгельные телескопические протезы: фото до и после

В качестве опоры могут быть использованы как натуральные зубы (в том числе подвижные), так и импланты. Но чтобы крепление было надежным, а само ортопедическое изделие прослужило как можно дольше, нужно поставить не менее шести таких коронок.

Показания и противопоказания

Показаниями к применению бюгельного протеза на телескопических коронках являются:
  • незначительные либо обширные дефекты в любом месте ряда;
  • необходимость замещения утраченных зубов при заболеваниях пародонта;
  • небольшая высота коронковой части опорных зубов;
  • необходимость максимально устойчивой фиксации протеза.
А не рекомендуется установка подобной конструкции в следующих случаях:
  • отсутствие или значительные дефекты опорных зубов;
  • атрофия челюстной кости;
  • повышенная стираемость эмали опорных зубов;
  • некоторые анатомические особенности челюстей – поставить бюгельный телескопический протез проблематично при низком небе, глубоком прикусе и т.д.
  • инфекции ротовой полости;
  • болезни дыхательной и сердечнососудистой систем в острой форме;
  • беременность;
  • психоневрологические расстройства;
  • инсулинозависимый диабет;
  • реабилитационный период после лучевой терапии;
  • аллергия на материалы бюгельных телескопических протезов.

Бюгельные телескопические протезы: преимущества и недостатки

Бюгельные протезы на телескопических коронках имеют много преимуществ:
  • эстетичный вид конструкции: отсутствие заметных для посторонних креплений делает ее неотличимой от натуральных зубов;
  • отличная фиксация: разъединить верхнюю и нижнюю части коронки можно лишь при вертикальном движении;
  • комфорт в использовании: бюгельный телескопический протез очень легко снимается;
  • правильное распределение жевательной нагрузки;
  • возможность подкорректировать протез при изменении количества собственных (в том числе опорных) зубов;
  • отсутствие влияния на дикцию и восприятие вкусов;
  • способность выдерживать большие нагрузки;
  • возможность на долгое время сохранить изначальный объем костной ткани.
А среди недостатков бюгельных протезов на телескопических коронках можно упомянуть:
  • необходимость существенного обтачивания опорных зубов;
  • сложность изготовления изделия;
  • вероятность появления аллергической реакции на материал;
  • высокая стоимость протезирования.

Срок службы и как ухаживать

При правильном уходе и регулярном прохождении профилактических осмотров со своевременной корректировкой конструкции бюгельные телескопические протезы способны прослужить до десяти лет.
Гигиена устройства включает ежедневную очистку утром и вечером, ополаскивание полости рта после еды, а также периодическое применение специального дезинфицирующего раствора, который уничтожает патогенные микроорганизмы и эффективно справляется с налетом.