Промежутки между зубами трудно качественно очистить, из-за чего в этих местах часто развивается боковой кариес. А поскольку проблема не сразу становится очевидной, пациенты обращаются к стоматологу лишь, когда возникает зубная боль.
Рекомендации докторов пользоваться зубной нитью обычно игнорируются. Это провоцирует скопление между зубами кариесогенных бактерий, которые выделяют органические кислоты. Воздействие данных кислот постепенно разрушает эмаль, причем, особенность бокового кариеса в том, что повреждаются сразу два рядом стоящих зуба.
Чаше всего от данной формы заболевания страдает жевательный отдел, что обусловлено увеличенной нагрузкой на этот участок. Самостоятельно заметить патологию практически невозможно, поэтому пациенты приходят на лечение, когда процесс уже распространился на корень. Боковой кариес передних зубов легче увидеть, и есть вероятность, что меры по его устранению будут приняты вовремя.
Рекомендации докторов пользоваться зубной нитью обычно игнорируются. Это провоцирует скопление между зубами кариесогенных бактерий, которые выделяют органические кислоты. Воздействие данных кислот постепенно разрушает эмаль, причем, особенность бокового кариеса в том, что повреждаются сразу два рядом стоящих зуба.
Чаше всего от данной формы заболевания страдает жевательный отдел, что обусловлено увеличенной нагрузкой на этот участок. Самостоятельно заметить патологию практически невозможно, поэтому пациенты приходят на лечение, когда процесс уже распространился на корень. Боковой кариес передних зубов легче увидеть, и есть вероятность, что меры по его устранению будут приняты вовремя.
Причины бокового кариеса
Кроме неудовлетворительной гигиены полости рта есть и другие причины появления бокового кариеса:
- Частые перекусы в течение суток. От фруктов большого вреда не будет, но если человек постоянно перекусывает чипсами, шоколадками, печеньем и плюс к этому употребляет газированные напитки, создается прекрасная среда для размножения бактерий.
- Недостаток в организме витаминов и минералов. Обычно это бывает из-за однотипного питания. В результате эмаль ослабевает, и возникает риск развития бокового кариеса.
- Травматизация эмали. Микротрещины могут появиться из-за вредных привычек (например, раскусывать зубами твердые предметы), а также одновременного употребления горячих и холодных блюд.
- Индивидуальные особенности организма. Любой, в том числе, боковой, кариес может быть связан с генетической предрасположенностью.
Лечение бокового кариеса
Боковой кариес лечится под местной анестезией:
- Пораженный участок полностью высверливается. Иногда, чтобы до него добраться, приходится удалять и часть здоровых тканей.
- Коронковая часть зуба реставрируется пломбировочными материалами. На жевательных поверхностях важно воспроизвести анатомические углубления и бугорки.
- Восстанавливаются контактные пункты между зубами.
- Выполняется финишная обработка реставрации путем шлифовки и полировки.
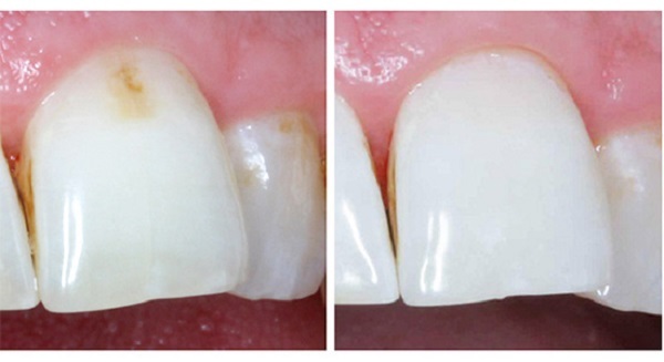
Боковой кариес: фото до и после
Для лечения бокового кариеса требуется определенный опыт, чтобы в дальнейшем не было рецидива. Поэтому важно обратиться в хорошую клинику, например, в круглосуточную стоматологию «Дока-Дент». Лучшие стоматологи-терапевты быстро и качественно приведут ваши зубы в порядок и расскажут о профилактике данного заболевания.