Пломбирование зубов

Пломбирование зубов

Пломба — пластичный материал для заполнения полостей наддесневой части и каналов зуба при лечении кариеса и устранении дефектов некариозного происхождения. Пломбирование зубов — одна из востребованных услуг в стоматологии.

Когда ставят зубные пломбы?

Пломба на переднем зубе или на жевательном ставится, когда нужно реконструировать эмаль и дентин, поврежденные в результате кариеса, некариозной деструкции или травм. В этих случаях пломбирование целесообразно, если утрачено не более трети коронки — при лечении стоматологических заболеваний и для улучшения эстетики зубного ряда.

Какие разновидности пломб существуют?

По своему назначению пломбы делятся на постоянные и временные. Постоянные создаются из серебряной амальгамы, пластмассы, силикофосфатного, силикатного или стеклоиономерного цемента, светоотверждаемых композитов и прочих материалов. Они устанавливаются на длительный срок. Временные пломбы устанавливаются на промежуточных этапах лечения глубокого кариеса и пульпита, чтобы изолировать заложенное в полость зуба лекарство.

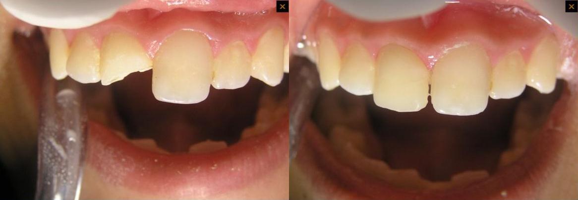
Пломбирование зубов: фото до и после

Что такое светоотверждаемые пломбы?

Это пломбы, затвердевающие под воздействием ультрафиолетового излучения. Изготовленные из прочных и долговечных материалов, они по внешнему виду похожи на натуральные ткани, поэтому прекрасно подходят для реставрации зоны улыбки — такая пломба на переднем зубе не будет привлекать к себе внимание.

Какие виды светоотверждаемых композитов бывают?

Светоотверждаемые композиты различаются по структуре и могут быть плотными и «текучими». Есть много видов фотополимерных пломб для зубов, но каждый из них обязательно имеет в составе три компонента: полимерную органическую матрицу, неорганический наполнитель и силан (связующее звено между органическими и неорганическими элементами пломбировочного материала).

В каких случаях рекомендуется поставить пломбу из жидкотекучего композита?

Такие зубные пломбы используют, когда нужно заполнить фиссуры, небольшие полости в зубе, а также ликвидировать пришеечные дефекты. За счет текучести материал хорошо проникает в углубления, обеспечивая отличное краевое прилегание. Жидкотекучие фотополимеры позволяют выполнять пломбирование зубов и на нижней, и на верхней челюсти.

Когда в стоматологии используются микрогибриды и нанокомпозиты?

Поставить пломбу из этих материалов можно при восстановлении фронтальных и жевательных зубов в процессе лечения кариеса, эрозии эмали и дентина. Кроме того, из этих материалов делают терапевтические виниры. Высокая прочность, абразивная стойкость и резистентность к воздействию кислот и пищевых красителей обеспечивают долговечность и привлекательность реставрации.

Что такое стеклоиономеры?

Это современные стоматологические цементы, объединяющие в себе свойства силикатных и полиакриловых систем. Пломбы для зубов из стеклоиономеров отличаются отсутствием токсичности, хорошей адгезией к натуральным зубным тканям, высокой биологической совместимостью, прочностью и хорошими эстетическими показателями.

Когда используют стеклоиономерные цементы?

Из них формируют постоянные зубные пломбы, прокладки. Также с помощью стеклоиономерных цементов герметизируют фиссуры, восстанавливают наддесневую часть зуба под коронку, заполняют корневые каналы и закрепляют ортопедические конструкции. За счет устойчивости к истиранию они хорошо подходят для реставрации жевательных зубов.

Сэндвич-техника — что это?

Это методика, при которой пломбирование зубов осуществляется двумя материалами. Основной объем полости зуба заполняется стеклоиономером, а жевательная поверхность формируется из композита световой полимеризации. У этой технологии есть определенные преимущества. Благодаря высокому содержанию фтора в основе пломбы зуб надежно защищен от развития вторичного кариеса. А возможность сэкономить композитный материал снижает стоимость пломбы — цена такой реставрации будет меньше.

Как выполняется обработка пломб?

Просто поставить пломбу недостаточно, ее нужно подогнать по прикусу и обработать специальными борами. Важно устранить все шероховатости, поэтому врач полирует пломбу особыми пастами, резинками и дисками. Для полировки боковых поверхностей и краев коронок применяются штрипсы (тончайшие стальные ленты). Формируя пломбу на переднем зубе, стоматолог должен уделить особое внимание эстетике, а на жевательном — воссоздать естественные ямки и бугорки, без которых невозможно качественное пережевывание пищи.

Какой должна быть качественная пломба?

Правильно изготовленная пломба для зубов повторяет анатомическую форму зуба и хорошо прилегает по краям. Она должна быть блестящей и гладкой, как натуральная эмаль. Жевательная поверхность пломбы должна иметь бугорки, такие же, как у остальных зубов.

Как долго служат пломбы?

Это зависит от особенностей использованного при пломбировании материала. Дольше всего служит амальгама (десять-пятнадцать лет). Реставрация из силикофосфатного или силикатного цемента прослужит примерно два года, а средний срок использования фотополимерных и химоотверждаемых композитных пломб составляет пять лет.

Какова стоимость пломбирования зубов?

На этот вопрос ответит специалист после диагностики и выбора метода реставрации. Самые дешевые варианты стоимости пломбирования зубов — цементная и металлическая пломба, а самая высокая цена у пломбы из светоотверждаемого композита. Запишитесь на консультацию к стоматологу, и вы сможете узнать, сколько стоит поставить пломбу именно вам.