Лечение кариеса

Вторичный кариес

Если пломба старая или была неправильно поставлена, рано или поздно возникает вторичный кариес. А поскольку очаг заболевания расположен внутри зуба, человек может узнать о болезни уже в запущенной стадии.
Различных факторов для повторного развития заболевания достаточно много:
  • Некачественное лечение первичного кариеса. Если в полости зуба остался фрагмент инфицированного дентина, болезнь снова начнет прогрессировать.
  • Неподготовленность поверхности зуба к установке пломбы. Рецидив кариеса может случиться, если из-за плохой подготовки зуба пломба по краям начинает крошиться.
  • Усадка пломбы. При отвердении светополимерной пломбы ее размер уменьшается, из-за чего между ней и зубом образуется микрощель, в которую проникают бактерии.
  • Нарушение герметичности из-за износа пломбы. Вторичный кариес появляется, если пломба отслужила свой срок (в среднем – 5 лет) и уже не может защитить зуб от проникновения внутрь микробов.
Существуют и внешние факторы, которые нередко приводят к возникновению вторичного кариеса. Это:
  • воздействие на зуб холодной или горячей пищи;
  • частое употребление твердых продуктов;
  • неправильное смыкание и избыточное трение зубов друг о друга вследствие нарушений прикуса;
  • недостаточная гигиена ротовой полости ― если на зубах и между ними остается налет, это неминуемо приведет к возникновению вторичного кариеса.

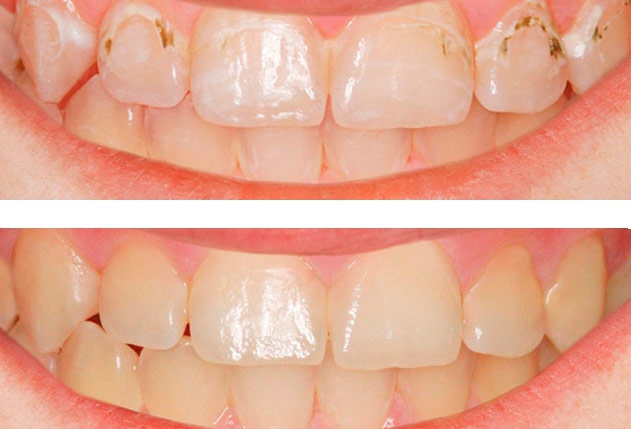
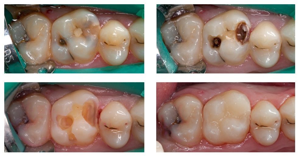
Вторичный кариес: фото до и после

Симптомы рецидива кариеса

Долгое время заболевание развивается незаметно. Но распознать проблему, все-таки, можно, если обратить внимание на некоторые моменты:
  • Чувствительность к температурным раздражителям. Этот признак указывает на то, что пломба прилегает к зубу неплотно, из-за чего дентин реагирует на холод и тепло. И если вторичный кариес еще не появился, в таких условиях он может возникнуть.
  • Потемнение зубных тканей вокруг пломбы. Консультация со стоматологом необходима, если зуб изменил оттенок, и сквозь эмаль просвечивает дентин.
  • Подвижность пломбы, которая ощущается языком. В этом случае с большой долей вероятности уже необходимо лечение вторичного кариеса, поскольку между зубом и пломбой застревают частички пищи, являющиеся отличной средой для размножения бактерий.
Если заболевание на обнаружено вовремя, могут появиться такие симптомы, как болевые ощущения в зубе и области нижнечелюстного сустава, воспаление и кровоточивость десны, неприятный запах изо рта.

Лечение вторичного кариеса

Диагностированный рецидив кариеса требует срочного лечения, которое во всех случаях проходит по стандартному плану:
  1. Полное удаление старой пломбы.
  2. Очищение зуба от некротизированного дентина.
  3. Обработка сформированной полости антисептическими препаратами.
  4. Пломбирование зуба.
Если удалить не всю пломбу, заболевание может вернуться. Еще одна особенность лечения вторичного кариеса ― образование довольно большой полости в зубе. В этой ситуации врач может порекомендовать установку керамической вкладки или коронки. Вкладки хорошо фиксируются внутри полости и надежно защищают зуб от появления кариеса в третий раз. К тому же, они эстетичны и стабильны при эксплуатации. А искусственные коронки незаменимы, если после лечения вторичного кариеса стенки зуба слишком истончены. Это особенно касается депульпированных зубов, ведь без нерва они становятся более хрупкими и слабыми.
Поскольку рецидив кариеса связан с некачественным лечением, врач-стоматолог должен крайне внимательно подойти к вопросу удаления из полости зуба всех пораженных тканей. Именно поэтому доверять лечение следует проверенным, высокопрофессиональным специалистам.

Профилактика

Чтобы в дальнейшем не понадобилось лечение вторичного кариеса, важно, чтобы первичный кариес был вылечен грамотно. Если стоматолог хорошо сделал свою работу, риск повторного поражения зуба сводится к минимуму. Безусловно, важна и правильная гигиена полости рта ― это также снижает вероятность обращения к врачу по поводу кариеса.
Нельзя забывать и о необходимости профилактических осмотров у стоматолога. Если показываться врачу хотя бы раз в полгода, это поможет вовремя выявить какие-либо проблемы. Например, обнаружить дефекты в пломбе, устранение которых позволит предотвратить ее разрушение и проникновение в зуб инфекции. Соблюдение этих простых мер избавит вас от необходимости лечения вторичного кариеса в будущем.