Официально термина «скрытый кариес» нет в медицинских энциклопедиях и справочниках. Но и врачи, и пациенты активно его используют. Такое название применимо к любому кариесу, который трудно выявить без специальных методов диагностики, ведь поврежденные зубы выглядят абсолютно здоровыми. Но разрушение внутри может зайти так далеко, что в дальнейшем потребуется удаление нерва.
Во многих случаях скрытый кариес развивается параллельно обычному или множественному кариесу, хорошо заметному на соседних зубах. В редких случаях он представляет собой отдельное заболевание. А сами кариозные повреждения мало отличаются от тех, что возникают при видимом кариесе. Их масштабы и характер зависят от локализации и возраста патологического процесса.
Во многих случаях скрытый кариес развивается параллельно обычному или множественному кариесу, хорошо заметному на соседних зубах. В редких случаях он представляет собой отдельное заболевание. А сами кариозные повреждения мало отличаются от тех, что возникают при видимом кариесе. Их масштабы и характер зависят от локализации и возраста патологического процесса.
Где развивается скрытый кариес
Поражения зубов при скрытом кариесе могут находиться:
Обычно заболевание выявляется только на средней или поздней стадии развития, когда значительная часть дентина и околопульпарных зубных тканей уже охвачена патологическим процессом.
- На контактных и задних стенках зубов. В этих местах его сложно обнаружить с помощью зонда и зеркала.
- Под пломбами и коронками при нарушении герметичности. Скрытый кариес появится с большой долей вероятности, если бактерии попадают в пространство между зубными тканями и искусственным материалом.
- На поддесневых участках зуба. Отсюда трудно вычистить зубной щеткой частички пищи.
- В фиссурах - анатомических углублениях на поверхности жевательных зубов. Если эмаль на этих участках не сильно повреждена, проявления скрытого кариеса не всегда удается заметить.
Обычно заболевание выявляется только на средней или поздней стадии развития, когда значительная часть дентина и околопульпарных зубных тканей уже охвачена патологическим процессом.
Лечение скрытого кариеса
Чаще всего лечение скрытого кариеса заключается в удалении инфицированных тканей и дальнейшем пломбировании зуба. Если патология обнаруживается в виде пятна или повреждения поверхности эмали, можно обойтись без вскрытия зуба. Достаточно провести профилактику при помощи глубокого фторирования зубов. Если скрытый кариес выявляется под пломбой, поврежденные участки препарируются, и делается новая реставрация. В запущенных случаях, если затронута пульпа, зубной нерв удаляют, а корневые каналы заполняют специальным пломбировочным материалом.
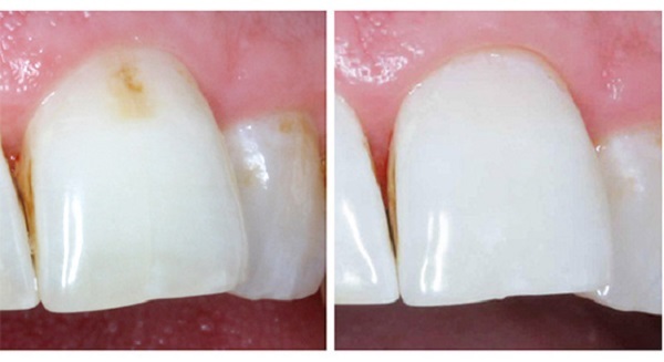
Скрытый кариес: фото до и после
Круглосуточная стоматология «Дока-Дент» оснащена современной диагностической аппаратурой для выявления скрытого кариеса и других патологий на стадиях, когда симптомы отсутствуют. Записаться в клинику можно по телефону или на сайте