Зубные протезы и виды зубных протезов

Частичные пластиночные протезы

Когда нужно заместить один или несколько утраченных зубов могут применяться частичные пластиночные протезы, которые представляют собой конструкцию с пластмассовым базисом и искусственными зубами.
Для их изготовления используются твердые или мягкие материалы — акрил, нейлон, полиуретан. А фиксирующие элементы выполняются из нержавеющей стали, пластмассы или сплавов благородных металлов.

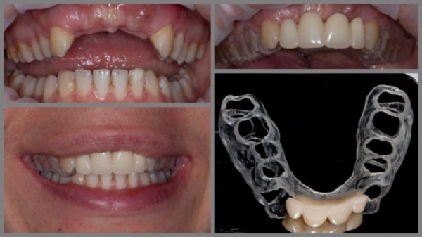
Частичные пластиночные протезы: фото до и после

Частичные пластиночные протезы меньше и легче полных. Пациенты без проблем к ним привыкают и не наблюдают ухудшения качества жизни.

Виды частичных пластиночных протезов

Частичные пластиночные протезы без обточки зубов различаются в зависимости от типа фиксации. Есть ортопедические конструкции на крючках (кламмерах) и на микрозамках (аттачменах). Первый вариант обойдется дешевле. Такой протез хорошо удерживается во рту, однако у него есть один недостаток: кламмеры размещаются у основания зуба и могут быть заметны для окружающих.
Частичный съемный пластиночный протез на аттачменах выглядит привлекательнее. Микрозамки состоят из двух частей. Одна находится в базисе или внутри искусственного зуба, вторая закрепляется на опорном зубе либо на коронке, которой он покрывается. Такая система обеспечивает высокую эстетику и не только позволяет прочно фиксировать конструкцию в полости рта, но также характеризуется надежной эксплуатацией. Однако из-за более сложного устройства такой вид частичных съемных пластиночных протезов стоит намного дороже.

Показания и противопоказания

Специалист может предложить установку частичного съемного пластинчатого протеза в следующих случаях:
  • замещение главных жевательных зубов;
  • восстановление зубов на обеих челюстях;
  • отсутствие возможности поставить несъемный протез;
  • медицинский запрет на установку имплантов;
  • аллергия на металл (в этом случае крепления ортопедической конструкции делаются из пластмассы).
Противопоказаниями к использованию пластинчатого частичного протеза являются:
  • аллергическая реакция на применяемый при его изготовлении материал (велика опасность анафилактического шока);
  • эпилепсия;
  • психические болезни;
  • заболевания или травмы слизистой оболочки полости рта;
  • профессии, требующие четкой дикции (такой протез может повлиять на качество речи).
Установка частичного съемного пластинчатого протеза вопреки противопоказаниям может привести к таким последствиям, как:
  • постоянное травмирование полости рта;
  • изменение вкусовых ощущений;
  • нарушение температурной чувствительности;
  • стирание эмали зубов в области их соприкосновения с кламмерами;
  • появление рвотного рефлекса;
  • воспаление десен.

Срок службы протезов

Сколько прослужат частичные съемные пластиночные протезы, зависит от двух факторов — тщательности ухода и скорости атрофии костной ткани челюсти. При пользовании подобными ортопедическими приспособлениями нужно избегать употребления твердых, липких и вязких продуктов, таких как яблоки, сырая морковь, ириски, жевательная резинка и пр., так как они могут нарушить фиксацию конструкции в ротовой полости и даже привести к ее поломке. В среднем пластинчатый частичный протез способен прослужить до пяти лет, однако при усиленной атрофии челюстных костей этот срок сокращается до двух-трех лет.