При пониженном иммунитете может развиться множественный кариес. Это острая форма заболевания, когда одновременно поражены от шести до двадцати зубов, а на одной коронке даже появляется несколько полостей.
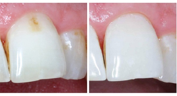
Множественный кариес: фото до и после
Симптомы множественного кариеса
Характерный признак множественного кариеса – стремительность процесса. В течение полугода-года у человека практически все зубы разрушаются. Симптомы заболевания:
Как правило, у пациентов с множественным кариесом вязкая слюна. Из-за скудного слюноотделения во рту постоянная сухость, эмаль деминерализуется и зубы разрушаются.
- видимые разрушения сразу на многих зубах;
- поражение одного зуба с разных сторон;
- чувствительность к горячему, холодному, кислому и сладкому;
- неприятный запах изо рта;
- болезненные ощущения во время еды и чистке зубов;
- образование кариозных полостей в придесневой области (множественный кариес корней);
- быстрое выпадение ранее поставленных пломб (под пломбой образуется вторичный кариес, зубные ткани размягчаются, и фиксация материала ослабевает).
Как правило, у пациентов с множественным кариесом вязкая слюна. Из-за скудного слюноотделения во рту постоянная сухость, эмаль деминерализуется и зубы разрушаются.
Лечение множественного кариеса
И у детей, и у взрослых лечение множественного кариеса проводится комплексно. Местная терапия в стоматологии «Дока-Дент» предусматривает препарирование и пломбирование зубов:
При множественном кариесе важно устранить саму причину заболевания. Поэтому кроме стоматологической клиники пациенту рекомендуется посетить иммунолога, эндокринолога, гастроэнтеролога. Лечение также включает в себя прием витаминов и иммуномодуляторов.
- под местной анестезией пораженные ткани высверливаются при помощи бормашины;
- полости промываются раствором антисептика;
- анатомическая форма зубов восстанавливается: для молочных зубов используются цементы, в составе которых есть фториды, а для постоянных – композиты светового отверждения.
При множественном кариесе важно устранить саму причину заболевания. Поэтому кроме стоматологической клиники пациенту рекомендуется посетить иммунолога, эндокринолога, гастроэнтеролога. Лечение также включает в себя прием витаминов и иммуномодуляторов.
Профилактика множественного кариеса
Множественный кариес можно предупредить, если заняться укреплением общего состояния здоровья и обеспечить защиту зубов от негативного внешнего влияния:
Множественный кариес помогает предотвратить процедура реминерализации эмали (глубокое фторирование). Эта услуга есть в круглосуточной клинике «Дока-Дент». Приходите на консультацию к нашим специалистам.
- чистите зубы минимум дважды в день с использованием противокариозной пасты;
- питайтесь правильно: пусть в рационе будет больше овощей, фруктов, молочных продуктов и зерновых;
- ограничьте употребление кондитерских изделий;
- своевременно лечите соматические болезни;
- не запускайте хронические заболевания;
- раз в три-шесть месяцев приходите в стоматологию для профилактических осмотров.
Множественный кариес помогает предотвратить процедура реминерализации эмали (глубокое фторирование). Эта услуга есть в круглосуточной клинике «Дока-Дент». Приходите на консультацию к нашим специалистам.