Зубные протезы и виды зубных протезов

Зубные протезы Акри Фри (Acry-Free)

В нашей стоматологической клинике пациентам предлагаются не только традиционные ортопедические конструкции, но и зубные протезы Акри-Фри, которые превзошли своих предшественников по показателям эстетики и удобства.
Acry-Free изготавливаются из материалов на основе акриловых смол, не содержащих мономеров. Они эластичнее обычных пластмассовых протезов, но в отличие от других мягких изделий лучше распределяют жевательную нагрузку и поддаются ремонту в случае повреждения.

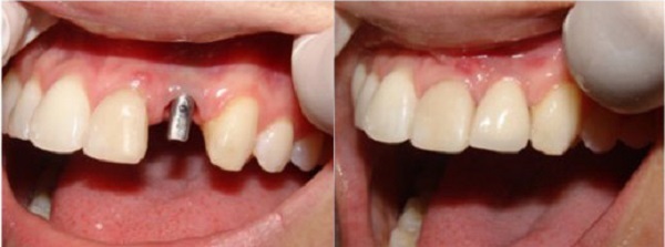
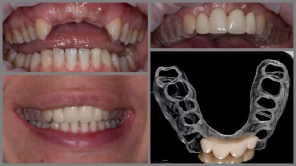
Зубные протезы Акри Фри (Acry-Free): фото до и после

Зубные протезы Акрифри состоят из полупрозрачной искусственной десны и коронок из керамики или пластмассы. В изделии полностью отсутствует металл (крючки сделаны из того же материала, что и базис) — это делает его легким и очень комфортным в использовании.

Показания и противопоказания

Зубные протезы Акри Фри (Acry-Free) рекомендуются к установке в следующих случаях:
  • отсутствие одного или утрата нескольких зубов;
  • адентия (полное отсутствие зубов);
  • аллергия на металл или другие материалы;
  • детский или пожилой возраст пациента;
  • чувствительность десен – зубные протезы Акри Фри не травмируют слизистые оболочки;
  • пародонтоз I и II степени;
  • наличие протитвопоказаний к препарированию зубов (эпилепсия и др.);
  • бруксизм (ночное скрежетание зубами с сильным сжатием челюстей);
  • травмоопасная деятельность пациента, например, зубные протезы Acry-Free прекрасно подойдут спортсменам;
  • заболевания нижнечелюстного сустава.
Словом, этот вариант протезирования можно применять во всех случаях, когда использование обычных пластмассовых или нейлоновых ортопедических конструкций становится невозможным из-за непереносимости, каких-то анатомических особенностей полости рта пациента либо по другим причинам.
Противопоказаний к установке зубных протезов Acry-Free нет.

Зубные протезы Acry-Free: преимущества и недостатки

У зубных протезов Acry-Free много достоинств:
  • высокая эстетика;
  • короткий адаптационный период;
  • нетоксичность;
  • гипоаллергенность;
  • гигиеничность: протез не подвержен скапливанию налета;
  • простота в уходе;
  • возможность применения в качестве шинирующей конструкции при подвижности зубов;
  • незначительная подверженность деформации.
Из минусов зубных протезов Акри Фри можно назвать недостаток, свойственный всем видам съемных ортопедических конструкций: неспособность дать должную нагрузку костной ткани, из-за чего она со временем атрофируется.

Срок службы и как ухаживать

Зубные протезы Акри Фри (Acry-Free) способны прослужить от 5 до 7 лет. А при бережной эксплуатации и правильном уходе длительность их использования можно значительно увеличить.
Это ортопедическое изделие не нужно снимать на ночь и держать в специальном контейнере. Утром и вечером достаточно тщательно очищать зубные протезы Акрифри при помощи щетки и пасты, а время от времени (в идеале один раз в неделю) помещать их в ванночку с дезинфицирующим раствором, который удаляет загрязнения и придает искусственным зубам и деснам блеск.
Также нельзя забывать о необходимости коррекции и с этой целью периодически посещать стоматолога-ортопеда.