Пломбирование зубов

Временная пломба

Часто стоматологическое лечение не ограничивается лишь одним визитом к врачу — в этом случае на промежуточном этапе не обойтись без временной пломбы. В основном она используется в следующих случаях:
  • Лечение острого глубокого кариеса. Граница между зубными тканями и пульпарной камерой настолько тонка, что кариозный процесс может перейти в пульпит, и тогда потребуется лечение корневых каналов. Поэтому при первом посещении стоматолог ставит в зуб лечебную прокладку и закрывает полость временной пломбой. Если под ней зуб продолжает болеть, это говорит о необходимости смены тактики.
  • Лечение пульпита. В большинстве случаев воспаление пульпы лечится в два посещения. Сначала необходимо некротизировать сосуды и нервы, чтобы в дальнейшем удаление пораженных тканей и обработка каналов не были болезненными. Для этого во время первого визита ставится временная пломба с мышьяком.
  • Лечение периодонтита. В зависимости от стадии болезни в корневые каналы помещается лекарство для купирования воспалительного процесса либо для восстановления костной ткани (при удалении кисты). В том и другом случаях нужна временная пломба. На каждом приеме стоматолог проверяет состояние каналов корня, а также соседних с ним тканей и решает, можно ли окончательно запломбировать зуб или стоит положить новую порцию лекарственного препарата.
  • Подготовка к протезированию. В некоторых ситуациях временную пломбу ставят на уже вылеченные и заполненные каналы — например, перед установкой штифта или ортопедической конструкции.

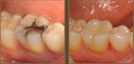
Временная пломба: фото до и после

Состав временной пломбы

Главное отличие временных пломб от постоянных — их состав. Обычно они изготавливаются из следующих материалов:
  • Искусственный дентин. Это смесь порошков оксида и сульфата цинка с дистиллированной водой.
  • Виноксол. Представляет собой смесь порошка оксида цинка с жидкостью. Обладает хорошей адгезией и антисептикой, а за счет высокой прочности временная пломба из этого материала способна прослужить до шести месяцев.
  • Дентин-паста. Белая однородная масса с эфирными маслами. Материал пластичен, обладает прекрасной адгезией, имеет водоотталкивающие свойства.
  • Цинк-эвгеноловый цемент. В его составе присутствуют оксид цинка и гвоздичное масло либо душистое вещество эвгенол. Временной пломбе из этого материала присущи хорошая адгезия, обезболивающий эффект, антисептика, стойкость к повышенным нагрузкам.
  • Поликарбоксилатный цемент. Представляет собой смесь порошков оксида цинка, меди и жидкости. Обладает хорошей пластичностью, устойчивостью к воздействию влаги, отличной адгезией.
  • Кариосан — окись цинка с эвгенолом.
Все материалы имеют свое время затвердевания и срок, через который можно принимать пищу. Для каждого случая стоматолог сам определяет вид и состав для заполнения полости, что будет влиять на цену временной пломбы.

Сколько стоит временная пломба с мышьяком

Срок, на который можно оставить в зубе временную пломбу с мышьяком, зависит от разных обстоятельств — от возраста пациента, состояния его зубов, а также средств, применяемых стоматологом для умерщвления пульпы. При установлении временных рамок во внимание принимается и вариант размещения препарата — на невскрытую пульпарную камеру или прямо на обнаженную пульпу.
Обычно временная пломба с мышьяком остается в зубе на сутки, но при лечении многоканальных жевательных зубов этот срок может быть увеличен до двух суток. При лечении молочных зубов со сформированными корнями это время уменьшают соответственно до 18 и 24 часов. А если используются препараты мышьяка последнего поколения, их можно оставлять в зубе до пяти суток.
Если вам поставили временную пломбу с мышьяком, необходимо четко соблюдать сроки и явиться для ее замены в установленное врачом время. Продолжительное пребывание лекарства в зубе приводит к проникновению мышьяка в соседние ткани и его накоплении там, что в итоге может спровоцировать воспаление периодонта.

Когда можно принимать пищу после установки временной пломбы

Обычно для затвердения временной пломбы требуется один или два часа. В это время принимать пищу не рекомендуется, иначе пломбировочный материал может раскрошиться. Более конкретные рекомендации можно получить у лечащего врача. А записаться на прием к стоматологу, уточнить цены на временные пломбы и другие интересующие вас вопросы можно по телефону.