Пломбирование зубов

Световая пломба

Относительным новшеством, широко используемым стоматологами при лечении зубов, является световая пломба. Она изготавливается из материалов, полимезирующихся под воздействием света. На сегодняшний день это, без всяких сомнений, оптимальный вариант для реставрации зубов в зоне улыбки. Чем же так хороша световая — или, как еще ее называют, светоотверждаемая — пломба?
К ее неоспоримым достоинствам следует отнести:
  • Пластичность материала. Благодаря этому качеству врач имеет возможность воспроизвести все анатомические особенности, присущие зубу пациента.
  • Затвердевание только под действием ультрафиолетового излучения. Это свойство положительно сказывается на конечном результате, ведь стоматолог может не спеша работать с полимером, который не застынет раньше времени.
  • Нетоксичность. По сравнению с аналогами из традиционных химических материалов, световая пломба совершенно безопасна для организма и практически не имеет противопоказаний.
  • Легкость в обработке. Такой материал хорошо поддается полированию и шлифовке.
  • Прочность. Светоотверждаемая пломба очень мало подвержена стиранию или усадке.
  • Наличие широкой гаммы оттенков. Квалифицированный стоматолог может идеально подобрать цвет реставрации в тон эмали пациента. Именно поэтому светополимерные пломбы так часто ставят на передние зубы, где особенно важна эстетическая сторона вопроса.
  • Длительный срок службы. Гарантия при установке такой пломбы обычно составляет от трех до пяти лет, что весьма неплохо. Причем на практике они зачастую держатся еще дольше.

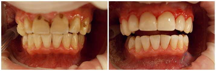
Световая пломба: фото до и после

Однако же, у светоотражающих пломб есть и отдельные недостатки. Так, они совершенно не подходят для установки в труднодоступных местах — например, на дальних жевательных зубах. К тому же, значительная цена композиции и трудоемкость процесса делают такую пломбу малопригодной для временного использования. В этих случаях врачи предпочитают ставить аналоги из химических материалов.
Как устанавливается световая пломба? После этапа лечения врач подготавливает композитный материал, посредством которого будет восстанавливаться анатомическая форма препарированного зуба. Попутно следует заметить, что светоотверждаемые материалы обычно расфасовываются в карпулы или одноразовые шприцы. Это заметно упрощает работу стоматолога, поскольку отсутствует необходимость смешивать в единый состав различные компоненты.
Для получения качественной светополимерной пломбы материал наносится послойно, причем каждый слой просушивается отдельно под светом галогенной либо светодиодной лампы в течение двух-трех минут. Особую роль в общем виде реставрации играет последний слой, поэтому ему уделяется повышенное внимание. Он должен в точности соответствовать рельефу натурального зуба: это важно не только с точки зрения эстетики, но и для того, чтобы не нарушить нормальное соприкосновение верхних и нижних зубных рядов. В завершение установки светоотверждаемая пломба шлифуется, полируется, а затем покрывается специальным лаком, который выполняет защитную функцию.

Состав световой пломбы

Для изготовления световых пломб применяется современный композит, который имеет в своем составе вещество, чувствительное к свету. Под воздействием ультрафиолетового излучения это вещество распадается, что становится толчком для запуска процессов полимеризации.
Большое влияние на свойства светоотражающей пломбы оказывает наличие специального наполнителя, который бывает разным в зависимости от поставленной задачи и места использования. Это может быть макро-, мини-, микронаполнитель, а также наногибридный композит.
Чем крупнее частицы, входящие в состав материала, тем более устойчивым к истиранию он становится. Однако при этом несколько страдают его эстетические качества. Чтобы добиться одновременно и высокой прочности и превосходного внешнего вида реставрации, сегодня применяются нанотехнологии. Получаемый в результате наногибридный композит, обладает практически всеми положительными характеристиками, которые необходимы для идеальной полимерной пломбы.

Сколько стоит светоотверждаемая пломба

На вопрос «сколько стоит поставить световую пломбу» не так уж просто дать однозначный ответ. Во многом это будет зависеть от того, насколько запущена болезнь. Если зуб достаточно серьезно разрушен или его приходится сильно рассверливать, то врачу придется основательно потрудиться. Объем предстоящей работы и количество используемого материала напрямую влияют на стоимость световой пломбы. Поэтому чем раньше вы обратитесь к специалисту для решения своей проблемы, тем меньше в конечном итоге потратите.
В клиниках «Дока-Дент» светополимерная пломба стоит от 3800 рублей — это примерно средние цены по столице. Более точный расчет врач сможет произвести лишь после осмотра и диагностики. Заметим, что рентген, анестезия и различные лечебные процедуры оплачиваются отдельно.

Когда можно принимать пищу после установки светоотверждаемой пломбы

Для того чтобы светоотражающая пломба прослужила как можно дольше, желательно после ее установки воздержаться от приема пищи хотя бы на сорок минут, а еще лучше — на два часа. Даже несмотря на то, что композит быстро застывает, а сама полимерная пломба отличается высокой прочностью, стоматологи советуют не рисковать.
Кроме того, в первые дни следует исключить из рациона красящие продукты (вишневый и гранатовый соки, свеклу, черный чай, кофе), а также сильногазированные напитки.