Пародонтология

Гингивит

Одна из востребованных услуг клиник «Дока-Дент» — лечение гингивита. Наши специалисты применяют комплексные методики, которые не только эффективно устраняют симптомы, но и ликвидируют причины заболевания.

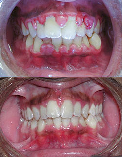
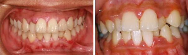
Гингивит: фото до и после

Что называется гингивитом?

Гингивит — это воспаление околозубной части десны, которое может проявлять себя довольно неприятными симптомами:
  • чувствительность и кровоточивость при чистке зубов
  • болезненные неприятные ощущения при пережевывании твердой, кислой, горячей и холодной пищи
  • покраснение десны над зубом
  • отек десен и межзубных сосочков
  • видимый налет в пришеечной части зуба
  • язвочки и синюшность края десны
Диагностика гингивита проводится при визуальном и инструментальном осмотре. Доктор оценивает состояние зубов, всех слизистых оболочек ротовой полости, особенности прикуса, наличие кариеса, пульпитов, налета и зубного камня, цвет и строение десен, их кровоточивость и присутствие гнойничков. В большинстве случаев применения дополнительных методов диагностики не требуется, но при наличии необходимости врач направит пациента на дальнейшее обследование.

Причины и клиника течения болезни:

  • налет, образующийся из-за недостаточного соблюдение гигиены полости рта, наличие зубного камня
  • травма десны пломбой либо острым краем зуба, прикусывание, ожог или царапина
  • гормональный дисбаланс в организме у детей, подростков, беременных и женщин в период климакса
  • период прорезывания зубов (когда ребенок щадит десну от нагрузки, и быстро образуется налет)
  • распространение кариеса у детей, пульпиты
  • анатомические нарушения в полости рта
  • изменение состава слюны
  • гастроэнтерологические патологии
  • недостаток минералов и витаминов в организме
  • преобладание жирной и сладкой пищи в рационе питания
  • курение, алкоголь, эмоциональные потрясения
  • отсутствие регулярных стоматологических осмотров
Клиническая картина гингивита такова, что при отсутствии лечения он может привести к пародонтозу и, как следствие, к выпадению зубов.

Классификация гингивита:

И у взрослых, и у детей гингивит классифицируют по виду и форме течения.
Он бывает катаральным, язвенным и гипертрофическим, а катаральный, в свою очередь, подразделяется на острый и хронический.
Для острого катарального гингивита, который встречается наиболее часто, характерно выраженное присутствие симптомов. Если их игнорировать и откладывать визит к стоматологу, болезнь способна быстро перейти в опасную хроническую форму.
У детей острый катаральный гингивит может свидетельствовать об аллергии или вирусном заболевании.
Хроническая форма характеризуется практически бессимптомным течением, при котором воспаление продолжает развиваться, обостряясь в периоды снижения иммунитета.
Кроме того, катаральная форма способна перейти в язвенную, при этом к симптомам добавляется появление небольших язвочек, похожих на проявление стоматита.
Язвы - повод срочно показаться врачу-стоматологу, иначе может начать развиваться тяжелая форма - язвенно-некротический гингивит.
При этом к перечисленным выше симптомам добавляются возможное повышение температуры тела до 39 градусов, запах гниения изо рта и головные боли.

Лечение гингивита

Лечение гингивита назначается врачом стоматологом после выяснения причин его возникновения.
Какой бы ни была причина, и детям, и взрослым, в первую очередь,снимается зубной налет, поскольку без этой процедуры противовоспалительное лечение теряет смысл и может только перевести острую форму течения заболевания в хроническую. При катаральной форме гингивита назначаются специальные гели и ополаскиватели, к которым можно подключать и лечение народными средствами -— полоскание отварами ромашки, шалфея, эвкалипта и зверобоя. Кроме того, лечение гингивита у детей производится с добавлением общеукрепляющих препаратов — витаминов и антиоксидантов. После снятия налета и удаления зубного камня лечение осуществляется амбулаторно — в домашних условиях.
При гипертрофическом гингивите применяется склерозирующая терапия и гингивэктомия с удалением разрастаний.
На заключительном этапе лечения очень важно наладить гигиену полости рта, чтобы гингивит не вернулся вновь. Правильная гигиена — это не только регулярная чистка зубов, но и использование в домашних условиях зубной нити (флосса). Профессиональную чистку зубов стоматологом рекомендуется проходить дважды в год.

Как предотвратить развитие гингивита?

Для профилактики воспаления десен необходимо соблюдать определенные правила:
  • тщательно удалять с зубов налет (кроме щетки и пасты обязательно пользоваться флоссом);
  • регулярно ходить на профилактические осмотры — это поможет выявить проблему и своевременно начать лечение гингивита;
  • раз в полгода проводить профессиональную чистку зубов.

Как определить, что гингивит полностью вылечен?

Если был диагностирован острый гингивит, все неприятные ощущения в области десен должны исчезнуть. После лечения хронического гингивита десны возвращаются к нормальной величине и перестают кровоточить, пародонтальные карманы исчезают. При грамотном лечении и удовлетворительной гигиене рецидивы заболевания отсутствуют в течение нескольких лет.

Сколько стоит лечение гингивита?

Это будет зависеть от вида и формы заболевания – например, дешевле всего обойдется лечение катарального гингивита, так как это на этой стадии заболевания десны еще не претерпели серьезных изменений. Точную информацию о стоимости лечения можно получить у стоматолога после осмотра и выбора метода терапии. А записаться на прием к пародонтологу клиники «Дока-Дент» можно по телефону.