Зубные протезы и виды зубных протезов

Акриловые зубные протезы

На сегодняшний день именно акриловые зубные протезы являются самыми распространенными ортопедическими конструкциями. Их применяют и для восстановления нескольких утраченных зубов, и в случае их полного отсутствия (адентия).
Эти изделия создаются из акриловой пластмассы путем литьевого прессования. Свойства материала позволяют протезам в течение долгого времени сохранять первоначальные форму, плотность и цвет.

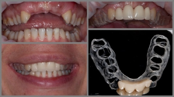
Акриловые зубные протезы: фото до и после

Акриловые зубные протезы бывают трех видов:
  • Полные съемные. Такие конструкции используются, когда в ряду отсутствуют сразу все зубы. На верхней челюсти в качестве опоры выступает небо и альвеолярный отросток, к которым протез «присасывается», а на нижней – только альвеолярная часть.
  • Условно-съемные. В этом случае зубные протезы из акрила крепятся на ранее вживленные в кость импланты, что обеспечивает высокую надежность фиксации.
  • Частичные съемные. Устанавливаются при утере нескольких зубов.

Показания и противопоказания

Установка акриловых съемных зубных протезов показана в следующих случаях:
  • отсутствие нескольких зубов подряд;
  • адентия;
  • раннее удаление молочных зубов у детей (с целью предупредить развитие патологии прикуса);
  • необходимость временного замещения имеющихся дефектов зубного ряда на промежуточном этапе несъемного протезирования конструкциями из металлокерамики.
Зубные протезы из акрила нельзя устанавливать, если:
  • есть риск аллергической реакции на материал, из которого создается базис;
  • сильно выражена убыль челюстной кости, из-за чего альвеолярная часть становится практически плоской - протез не будет на ней держаться даже при пользовании фиксирующими гелями;
  • имеется большая вероятность появления рвотного рефлекса: в этом случае использование акрилового съемного зубного протеза будет значительно затруднено или даже невозможно.

Акриловые зубные протезы: преимущества и недостатки

Ортопедические изделия из данного материала имеют много достоинств:
  • их можно поставить пациентам любого возраста;
  • благодаря натуральному цвету акриловых коронок и базиса конструкция совершенно незаметна для посторонних;
  • протез имеет небольшой вес, легко снимается и надевается;
  • изготовление акриловых зубных протезов не занимает много времени;
  • при жевании вся нагрузка приходится не на опорные зубы, а распределяется по всей поверхности десневой линии;
  • если произошла поломка, изделие можно отремонтировать;
  • по сравнению с другими ортопедическими изделиями цены на акриловые зубные протезы самые низкие.
Но есть и определенные недостатки, которые нужно учесть перед тем, как принять решение:
  • при долговременной эксплуатации материал выделяет вещества, которые могут вызвать аллергию;
  • пластмасса, из которой делаются акриловые коронки и основание, имеет пористую структуру, поэтому на ней постепенно скапливается налет;
  • в процессе ношения конструкции не исключено травмирование слизистой полости рта;
  • от соприкосновения с крепежными элементами протеза часто страдает эмаль опорных зубов, из-за чего может развиться кариес.

Срок службы и как ухаживать

Чтобы акриловые съемные зубные протезы прослужили дольше, необходимо правильно организовать за ними уход: после каждого приема пищи рот полоскать рот, а утром и вечером хорошо вычищать изделие щеткой с пастой. На ночь протез необходимо снимать и помещать его в дезинфицирующий раствор. При бережном обращении ортопедическая конструкция прослужит не менее пяти лет.