Зубные протезы и виды зубных протезов

Полные пластиночные протезы

Самый распространенный вариант восстановления зубов при адентии — полный пластиночный протез, представляющий собой конструкцию из пластмассового основания и искусственных коронок. Для создания такого протеза применяются твердые (акрил) и мягкие (нейлон, полиуретан, винил) пластмассы.
По виду крепления они бывают на присосках и на имплантах. В первом случае конструкция держится во рту за счет естественных анатомических выступов челюстей и эффекта присасывания к деснам. Однако это в большей степени относится к полному съемному пластиночному протезу на верхнюю челюсть.

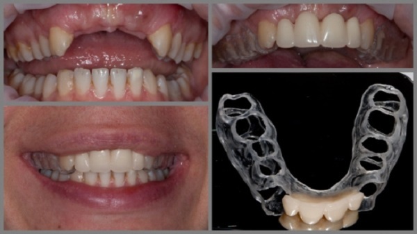
Полные пластиночные протезы: фото до и после

Внизу из-за подвижности тканей и наличия уздечек добиться прочной фиксации практически невозможно. Тогда можно прибегнуть ко второму способу протезирования с установкой конструкции на металлические штифты, которые вживляются в кость. Этот метод крепления более надежен, а кроме того, благодаря такой опоре полный пластинчатый протез оказывает меньшее давление на десны, не вызывает дискомфорта в использовании и не влияет на дикцию.

Изготовление полного пластиночного протеза

Каждый полный съемный пластиночный протез уникален и по своему устройству, и по форме, поскольку создается с учетом индивидуальных особенностей конкретного пациента. Ортопедические изделия изготавливаются в зуботехнической лаборатории, а сам этот процесс состоит из нескольких этапов:
  • Анализ состояния ротовой полости и выбор наиболее подходящей конструкции.
  • Санация и снятие слепка.
  • Создание гипсовых моделей в лаборатории.
  • Восковое моделирование.
  • Изготовление полного пластиночного протеза.
  • Шлифовка и полировка изделия.
  • Примерка протеза пациентом и при необходимости его коррекция.

Показания и противопоказания

Показание к применению полных пластинчатых протезов — это адентия, то есть, отсутствие сразу всех зубов на челюсти.
Существуют и противопоказания. К абсолютным относятся:
  • аллергия на пластмассу;
  • неизлечимые заболевания полости рта;
  • психические болезни;
  • эпилепсия.
Относительные противопоказания к установке съемных пластинчатых протезов при полном отсутствии зубов — это:
  • острые вирусные инфекции;
  • воспалительные заболевания и хронические инфекции в фазе обострения;
  • недавно перенесенный инфаркт либо инсульт;
  • актиномикоз;
  • туберкулез;
  • пародонтит и пародонтоз;
  • профессиональная деятельность пациента, требующая четкой дикции.
Относительные противопоказания — не являются преградой к установке полного съемного пластиночного протеза на верхнюю челюсть или на нижнюю. Это лишь временные проблемы, после решения которых можно осуществить протезирование.

Срок службы протезов

Сколько прослужат полные съемные пластинчатые протезы, зависит от их качества, тщательности ухода и скорости атрофии костной ткани челюсти. В среднем ортопедическая конструкция может использоваться около пяти лет. При быстрой убыли челюстной кости этот срок сокращается до двух-трех лет.
Уход за съемными пластинчатыми протезами при полном отсутствии зубов несложен, однако требует регулярного проведения гигиенических процедур. Искусственные зубы и базис нужно тщательно очищать от налета при помощи зубной пасты и щетки. Изделия из мягкого эластичного материала требуют особенно бережного обращения: чтобы не поцарапать поверхность, нейлоновые полные съемные пластинчатые протезы чистят не щеткой, а замачивая в дезинфицирующем растворе. Также можно использовать специальные ультразвуковые приборы, которые хорошо очищают ортопедические конструкции от стойких загрязнений в труднодоступных местах.