Такой вид поражения, как внутренний кариес, непросто заметить невооруженным глазом, и обычно пациенты обращаются к стоматологу только после появления зубных болей. Инфекция нередко развивается под пломбой, и способствуют этому усадка пломбировочного материала или некачественно проведенное лечение.
При отвердении пломба уменьшается в размерах, из-за чего между ней и стенками зуба образуются микроскопические щели. После нарушения герметичности в зуб попадают микроорганизмы, вызывающие внутренний кариес. Подвергнуться усадке может даже самый передовой и дорогой материал, когда работа ведется не по протоколу. Если поставить пломбу во влажную полость или засвечивать фотополимер не маленькими порциями, а «одним куском», во много раз возрастает вероятность возникновения внутреннего кариеса.
Прежде чем запломбировать зуб, доктор должен полностью удалить пораженные ткани. Если какая-то часть некротизированного дентина была оставлена, неизбежно развитие рецидива. Чтобы предотвратить такие ситуации полость зуба после обработки контролируется при помощи специальной жидкости. Она окрашивает кариозные участки и не изменяет цвет здоровых.
При отвердении пломба уменьшается в размерах, из-за чего между ней и стенками зуба образуются микроскопические щели. После нарушения герметичности в зуб попадают микроорганизмы, вызывающие внутренний кариес. Подвергнуться усадке может даже самый передовой и дорогой материал, когда работа ведется не по протоколу. Если поставить пломбу во влажную полость или засвечивать фотополимер не маленькими порциями, а «одним куском», во много раз возрастает вероятность возникновения внутреннего кариеса.
Прежде чем запломбировать зуб, доктор должен полностью удалить пораженные ткани. Если какая-то часть некротизированного дентина была оставлена, неизбежно развитие рецидива. Чтобы предотвратить такие ситуации полость зуба после обработки контролируется при помощи специальной жидкости. Она окрашивает кариозные участки и не изменяет цвет здоровых.
Признаки внутреннего кариеса
На развитие внутреннего кариеса указывает чувствительность зуба к температурным раздражителям. Это значит, что пломба неплотно прилегает к стенкам, и раздражающий фактор действует прямо на незащищенный дентин.
Еще один признак кариозного поражения – потемнение зубных тканей вокруг пломбы. Если вы заметили, что зуб поменял оттенок и стал сероватым, необходимо проконсультироваться со стоматологом.
Срочного визита к врачу требует и подвижность пломбы, ощутимая языком. В этом случае, практически со стопроцентной вероятностью, внутренний кариес уже имеет место, и пломба скоро выпадет.
Еще один признак кариозного поражения – потемнение зубных тканей вокруг пломбы. Если вы заметили, что зуб поменял оттенок и стал сероватым, необходимо проконсультироваться со стоматологом.
Срочного визита к врачу требует и подвижность пломбы, ощутимая языком. В этом случае, практически со стопроцентной вероятностью, внутренний кариес уже имеет место, и пломба скоро выпадет.
Лечение внутреннего кариеса
Внутренний кариес лечится по стандартной схеме:
Если пломба занимает большую часть зуба, после лечения внутреннего кариеса стоматолог может предложить поставить искусственную коронку. Это вполне оправдано, так как после удаления пораженных тканей стенки зуба истончаются и нуждаются в защите.
- удаление старой пломбы;
- высверливание бором инфицированного дентина;
- антисептическая обработка сформированной полости;
- повторное пломбирование зуба;
- шлифовка и полировка реставрации.
Если пломба занимает большую часть зуба, после лечения внутреннего кариеса стоматолог может предложить поставить искусственную коронку. Это вполне оправдано, так как после удаления пораженных тканей стенки зуба истончаются и нуждаются в защите.
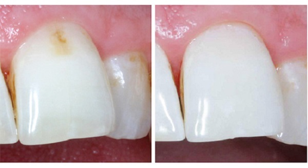
Внутренний кариес: фото до и после
По поводу диагностики, профилактики и лечения внутреннего кариеса обращайтесь в круглосуточную клинику «Дока-Дент». Для записи на прием на сайте есть несложная форма. Также нам можно позвонить и согласовать время визита с администратором.