Хирургическая стоматология

Хирургическая стоматология

Довольно долго главным методом оперативного лечения зубов считалось их удаление. Еще совсем недавно стоматолог-хирург однозначно приговорил бы к удалению любой не подлежащий пломбированию зуб, поскольку методов его сохранения попросту не существовало. Но в современной стоматологии хирургия зубов стала более щадящей, поскольку инновационные технологии позволяют избежать полного удаления зуба в большинстве случаев. Ведущие клиники, включая «Дока-Дент», используют для этого специальные зубосохраняющие операции. Они показаны в том случае, если в районе одного из зубных корней появляется очаг хронической инфекции, который не поддается терапевтическому лечению, при этом остальные корни и коронковая часть зуба инфекцией не поражены и могут подвергаться ортопедическому лечению.
Хирургическое лечение зубов – это лишь один из видов оперативного вмешательства, предполагающий применение местной, а иногда и общей анестезии. Послеоперационный период обычно предусматривает особый уход за полостью рта и использование специальных препаратов, которые способствуют скорейшему заживлению тканей.
Современная хирургия зубов предусматривает целый ряд зубосохраняющих операций, каждая из которых успешно применяется специалистами стоматологической клиники «Дока-Дент». Например, гемисекция используется стоматологами-хирургами при удалении одного из корней проблемного многокорневого зуба. Вместе с корнем удаляется также прилегающая коронковая часть. Ампутация корня зуба предусматривает удаление исключительно инфицированной корневой части зуба, сохраняя при этом коронковую часть и рабочие характеристики зуба. Если кариесом поражен зуб в месте схождения корней, целесообразно использование короно-радикулярной сепарации, которая предусматривает распиливание коронки зуба и разъединение корней.

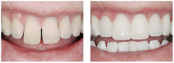
Хирургическая стоматология: фото до и после

Новые методы хирургического лечения зубов можно применять и для борьбы с проблемами десен - в том случае, если терапевтические методы оказываются не эффективными. Этот аспект стоматологической хирургии тоже успешно освоен нашими специалистами. Поэтому использование хирургического вмешательства во время лечения зубов наших пациентов часто помогает сохранить форму и функциональность зубов, избежав боли и лишних денежных трат.