Когда инфекция интенсивно разрушает зубную эмаль, специалисты говорят об остром кариесе. При этой форме заболевания человек может лишиться зуба за три-четыре недели. Такая ситуация наблюдается, когда размножению болезнетворных бактерий в полости рта ничего не препятствует.
Главные причины возникновения сильного кариеса - это снижение бактерицидных свойств слюны и несоблюдение гигиены полости рта. Также среди провоцирующих факторов можно назвать вредные привычки, нарушение обмена веществ, дефицит в организме витаминов и минералов.
В зоне риска находятся:
Чем ниже у человека иммунитет, тем больше вероятность появления острого кариеса.
Главные причины возникновения сильного кариеса - это снижение бактерицидных свойств слюны и несоблюдение гигиены полости рта. Также среди провоцирующих факторов можно назвать вредные привычки, нарушение обмена веществ, дефицит в организме витаминов и минералов.
В зоне риска находятся:
- дети с молочным прикусом;
- пожилые люди со слабым иммунитетом;
- люди с хроническими заболеваниями и после затяжных инфекционных болезней.
Чем ниже у человека иммунитет, тем больше вероятность появления острого кариеса.
Симптомы острого кариеса
Сильный кариес виден невооруженным глазом. Сам пациент может заметить кариозные очаги на поверхности эмали сразу нескольких зубов, если внимательно осмотрит полость рта в зеркале. Внешние проявления патологии могут сопровождаться:
- резкой и продолжительной зубной болью;
- реакцией зубов на холодное, горячее, кислое;
- болевыми ощущениями при попадании в кариозную полость кусочков пищи;
- появлением неприятного запаха изо рта.
Лечение острого кариеса
Терапия сильного кариеса включает несколько этапов:
- Анестезия. Острый кариес характеризуется повышенной чувствительностью зубов, поэтому медицинские манипуляции могут быть болезненными. Чтобы оградить пациентов от дискомфорта в клинике «Дока-Дент» применяются эффективные местные анестетики.
- Удаление инфицированных тканей. Поврежденные участки эмали и дентина высверливаются при помощи боров.
- Обработка полости антисептиком.
- Извлечение зубного нерва (по показаниям). Если сильный кариес затронул пульпу, ее удаляют, а корневые каналы пломбируют. Такое лечение может потребовать два визита к врачу.
- Восстановление анатомической формы зуба. Наддесневая часть зуба реставрируется путем послойного нанесения фотополимерного композитного материала. При серьезных разрушениях (более чем наполовину) может потребоваться изготовление и установка искусственной коронки из стоматологического фарфора, оксида циркония или металлокерамики.
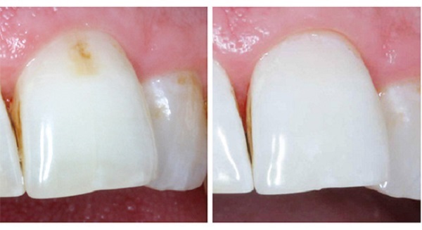
Острый кариес: фото до и после
Все дополнительные вопросы о том, что такое острый кариес, как вылечить и предупредить это заболевание (профилактика), можно выяснить на консультации у специалиста. Запишитесь в круглосуточную стоматологию «Дока-Дент» на сайте клиники или по телефону.