Отбеливание зубов

Капы для отбеливания зубов

Капы для отбеливания зубов - идеальное решение для тех, кому важен результат за разумные деньги. Кроме того, эта технология позволяет посетить стоматолога лишь дважды: первый раз для того, чтобы сделать гипсовый слепок с зубов, а второй – купить каппы для отбеливания и гель. Весь остальной процесс можно с успехом проводить и контролировать самостоятельно. Методика отлично подойдет для вас, если вы хотите постепенных изменений. Период ношения кап продолжается от 14 дней до нескольких месяцев, в течение которых вы сможете добиться максимально естественной смены тона зубов.

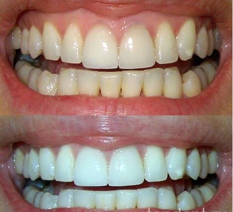
Капы для отбеливания зубов: фото до и после

Каппы для домашнего отбеливания: где купить

Зубные каппы – продукт индивидуальный. Он создается лично и только для вас. Для этого вам нужно придти на прием ко врачу клиники Дока-Дент для первичной консультации и снятия слепков. Изготовление кап занимает всего пару дней, после чего вы вновь приходите к нам, чтобы получить заветное средство, гель и рекомендации. Как видите, все очень просто, а главное – доступно и эффективно.
В клинике Дока-Дент можно не только купить каппы для отбеливания и активный гель самых передовых мировых компаний, занимающихся здоровьем, но и получить бесплатную консультацию лучших специалистов Москвы. Позвоните нам и задайте все интересующие вас вопросы.