Пульпит
Пульпит

Ретроградный пульпит

Один из самых редких видов воспаления зубного «нерва» - ретроградный пульпит. Это хроническая форма, при которой инфекция попадает в пульпу не из коронки, а через отверстие в верхушке корня.
Пути проникновения микробов бывают разные:
  • через пародонтальный карман – патогенная микрофлора распространяется вглубь вдоль корня;
  • с током крови – такое осложнение возникает после перенесенных заболеваний (грипп, ветрянка, краснуха, сепсис);
  • из ближайших инфекционных очагов (гайморит, остеомиелит и т.д.).
Особенность ретроградного пульпита в том, что воспалительный процесс начинается с корневой части, а затем переходит на коронку.

Симптомы ретроградного пульпита

Иногда ретроградный пульпит протекает без каких-либо проявлений. В иных случаях наблюдаются те же симптомы, что и при гнойном воспалении «нерва»:
  • самопроизвольные боли рвущего, пульсирующего характера;
  • длительные болевые приступы с небольшими периодами просветления;
  • усиление болей в ночное время, иррадиация в челюсть, ухо, висок;
  • реакция на все виды раздражителей (зуб болит от холодного, горячего, кислого, сладкого).

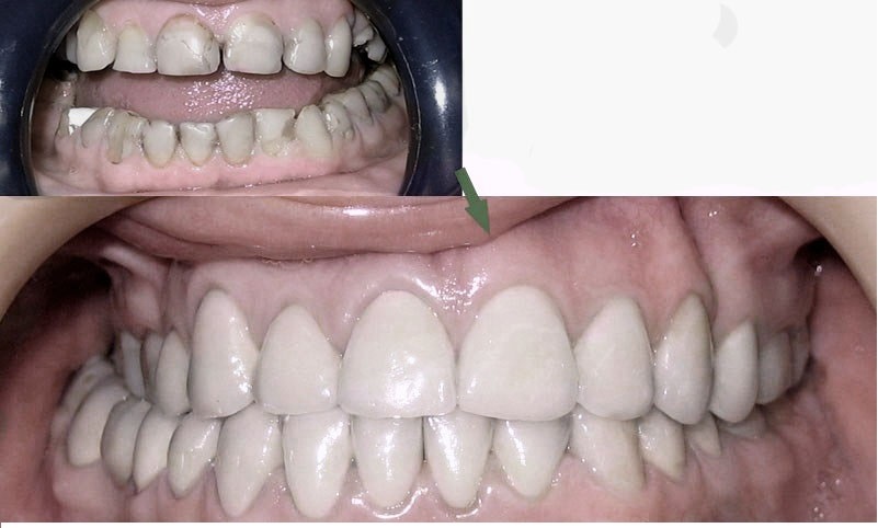
Ретроградный пульпит: фото до и после

Лечение ретроградного пульпита

Ретроградный пульпит очень трудно диагностировать, особенно, когда нет видимых изъянов, и заражение произошло через кровь. Поэтому специалисты клиники «Дока-Дент» в Москве проводят всестороннее обследование.
Лечение ретроградного пульпита заключается в трепанации зуба и удаления пораженной пульпы. Коронку вскрывают при помощи боров, после чего корневые каналы очищают от инфицированных тканей, а затем пломбируют.
Своевременное профессиональное лечение ретроградного пульпита поможет сохранить зуб. С отзывами, результатами терапии в нашей стоматологии (фото до и после) ознакомьтесь на сайте. А дня записи на прием воспользуйтесь телефоном или онлайн-формой.